2025.07.23
他院で前歯の反対咬合や受け口のことを説明された患者さん
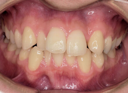
今月の患者さん 2025年07月23日 他院で前歯の反対咬合や受け口のことを説明され、来院された患者さんです。 受け口や八重歯…
症例ブログ|滋賀の矯正歯科専門医院【ウイング栗東矯正歯科クリニック】
今月の患者さん 2025年07月23日 他院で前歯の反対咬合や受け口のことを説明され、来院された患者さんです。 受け口や八重歯…
今月の患者さん 2025年07月16日 上顎前突(出っ歯)と前歯叢生(がたつき)、過蓋咬合(かみ合わせが深い)の患者さんです。 …
今月の患者さん 2025年07月02日 『がたがたの前歯を治したい』と来院された患者さんです。 重度の叢生(がたつき)で、並べ…
今月の患者さん 2025年06月18日 他院(一般歯科)からの紹介で来院された患者さんです。 上顎前歯(中切歯)2本が虫歯と歯…
今月の患者さん 2025年06月04日 長年気にされていた八重歯、下の歯の重なり、かみ合わせを治したい、と来院された患者さんです…
今月の患者さん 2025年05月14日 『前歯の生える方向が歪んでいる。下も隙間がなく入りきらない』と来院された患者さんです。 …
受け口、反対咬合の治療写真 前歯部に叢生(がたつき)がある、受け口、前歯反対咬合の患者さんです。 虫歯の処置歯が多いだけでなく…
今月の患者さん 2025年04月28日 『前歯が生えてきたが既にがたつきがあり、今後が心配』 ということで、小学校低学年から小…
今月の患者さん 2025年04月23日 外科手術が必要な下顎前突症(顎変形症)の患者さんです。 下顎の正中は左側に大き…
今月の患者さん 2025年03月16日 前歯の生え変わりの時期(小学校低学年)、受け口が気になるということで相談に来られた患者さんで…