今月の患者さん
2025年11月26日
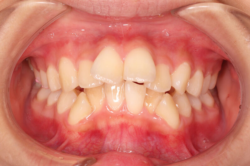
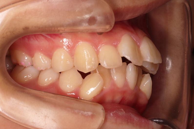
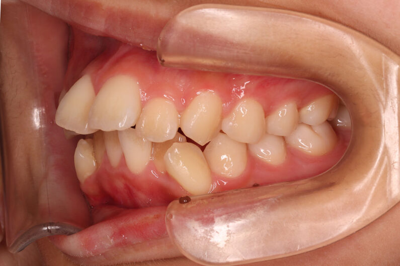
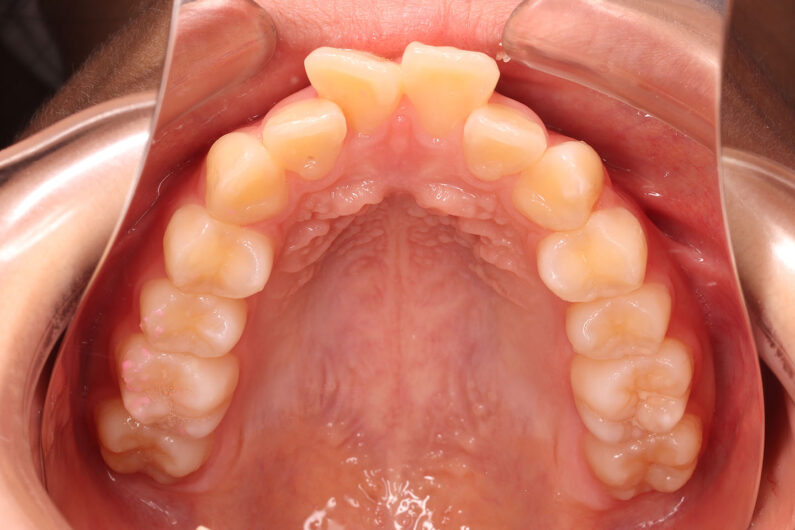
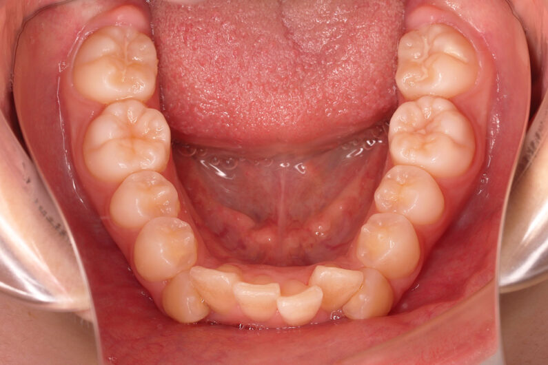
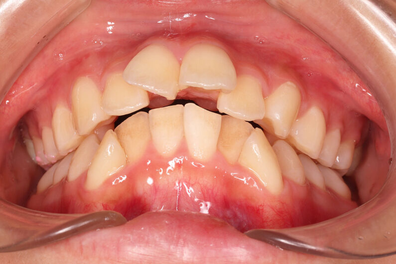
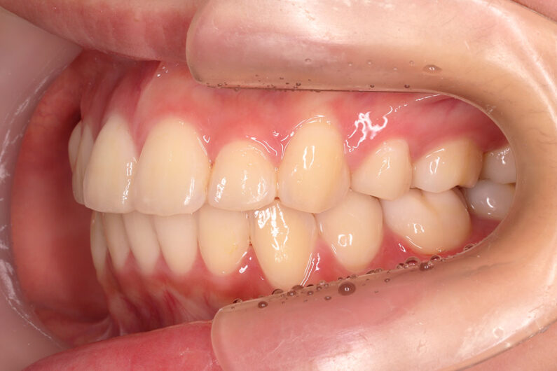
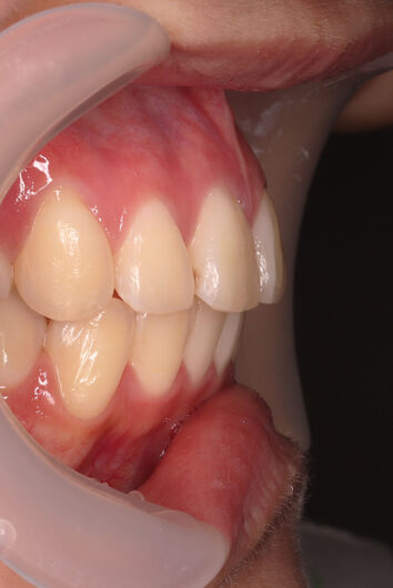
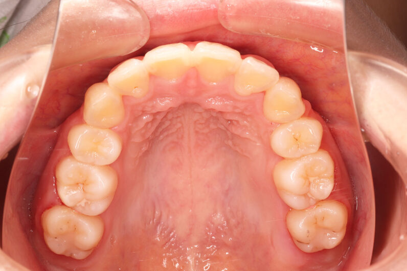
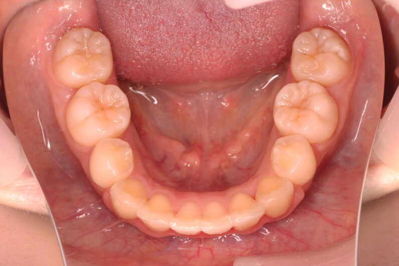
他院から紹介の患者さんです。 前歯、下の歯のガタツキをきれいにしたいということで治療を決断されました。
上顎前歯6mm、下顎前歯2.5mmの前突の状態で、口唇も前突しています。 小臼歯抜歯したスペースを使い、叢生(がたつき)と前突した前歯の後退を目標にしました。 この方も希望により、アンカースクリューは使用せず、通常の顎間ゴムで対処してもらいました。
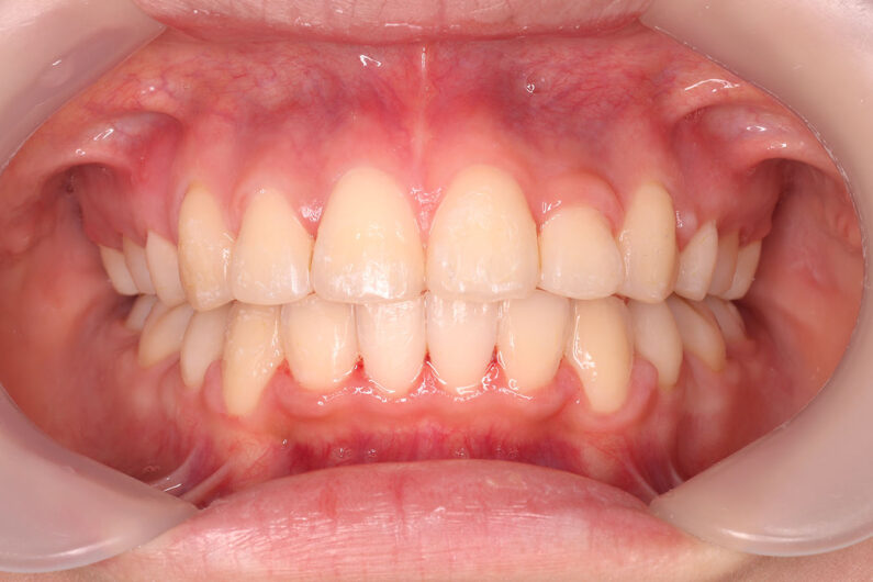
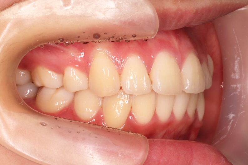
マルチブラケット 動的治療期間 3年5か月 調整回数29回
治療後は前歯は後退し、前歯の傾斜度も良くなっています。 口唇の緊張感も改善し、エステティックラインも綺麗になりました。
| ||
|
|
|























