2026.05.03
一般歯科で、顎が小さく歯が大きいと指摘され来院
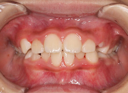
今月の患者さん 2026年05月03日 前歯が生え変わり始めた小学1年生ごろ、 一般歯科で、顎が小さく歯が大きいと指摘され来院…
八重歯、乱杭歯、過蓋咬合、叢生(そうせい)|症例ブログ|滋賀の矯正歯科専門医院【ウイング栗東矯正歯科クリニック】
今月の患者さん 2026年05月03日 前歯が生え変わり始めた小学1年生ごろ、 一般歯科で、顎が小さく歯が大きいと指摘され来院…
今月の患者さん 2026年04月26日 歯科検診でかみ合わせが不良と指摘され、相談来院されました。 小児の診断では、前歯のがた…
今月の患者さん 2026年04月05日 治療が必要なら始めたい、と小児矯正から治療を始めた患者さんです。 検査結果から、3mm…
今月の患者さん 2026年03月22日 『永久歯の生え方が斜めなのが気になる』 永久歯が大きく、上下顎萌出4前歯に重度の叢生(…
今月の患者さん 2026年03月08日 『前歯ががたついて生えてきた』 一般歯科から紹介の患者さんです。 上下4前歯に叢生が…
今月の患者さん 2026年02月24日 歯が重なっている、出っ歯を治したい 以前に治療した方からの紹介で来院した患者さんです。…
今月の患者さん 2026年02月03日 反対咬合を治したい。 小児矯正から治療をスタートした患者さんです。 受け口は見てわか…
今月の患者さん 2026年01月23日 『乳歯列でがたつきがある、永久歯に生え変わるスペースが足りない』 一般歯科医院で指摘さ…
今月の患者さん 2026年01月05日 右上の前歯が生えてこない事を気にされ来院されました。 レントゲン写真から、上顎正中に過…
今月の患者さん 2025年12月17日 側方歯(犬歯、小臼歯)の生え変わりの時期。 前歯のがたつきを気にされ、小児矯正からの治…