お悩み別メニュー
矯正が必要なよくある歯並び

前歯が出ていたり、歯並びがガタガタだったりすると、自信が持てず、人前で思いきり笑うことができないという方も多いのではないでしょうか。歯は、ファスナーや歯車のように、上下の歯がきちんと噛み合うことで正常に機能します。矯正治療では、見た目を良くするだけでなく、この噛み合わせを正すことがたいへん重要です。治療後には、美しいEラインやスマイルラインを実現し、自信を持って笑顔になれるようになります。
不正咬合(悪い歯並び・噛み合わせ)にはさまざまな種類があります。よくある症状を以下にまとめましたので、ご覧ください。
上顎前突(出っ歯)

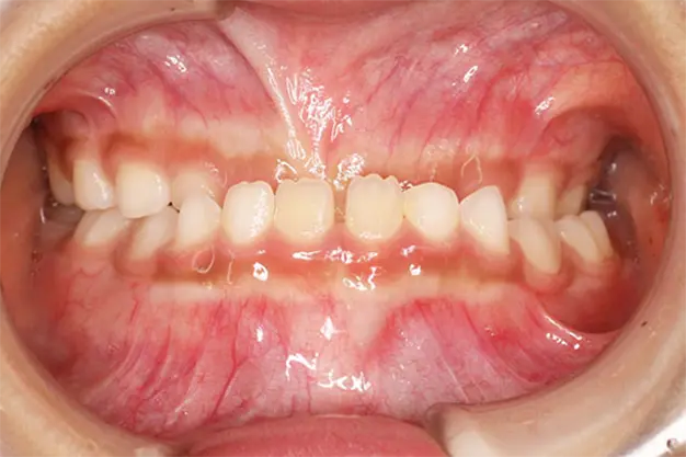
上の前歯が出ている
上の前歯が通常よりも前に出ている状態を指します。口を閉じても前突感が目立つため、見た目がコンプレックスにつながることがあります。さらに、噛み合わせが不完全になることで、噛みづらさや発音のしづらさといった機能的な問題を引き起こす場合もあります。
この症例の他の治療例はこちら上顎前突・下顎両側中切歯の先天的欠如・上下口唇前突
- 診断名・主訴
上の前歯が出ている、少し隙間がある、上顎前突、下顎両側中切歯の先天的欠如、上下口唇前突
- 年齢・性別
10代・女性
- 治療期間・回数
マルチブラケット動的治療期間 2年3ヵ月 調整回数21回
- 治療に用いた主な装置
◎セラミック製 唇側セルフライゲーション型ブラケット装置
◎顎間ゴム
- 抜歯部位
上顎両側4番・上下顎8番(親知らず)
- 治療費
検査料 ¥50,000+消費税
装置料 ¥700,000+消費税
調整管理料 ¥3,000+消費税×回数
- リスク・副作用
歯肉退縮・歯根吸収・歯の移動時の痛み・咬合や装置の違和感・虫歯・歯肉炎・口内炎・後戻り


下顎前突(受け口)

下の前歯が出ている
一般的に下の前歯が上の前歯よりも前に出ている状態を指します。この状態では、口を閉じると下の歯が上の歯に被ってしまうため、噛み合わせが不自然になり、発音が不明瞭になったり食事がしにくくなったりすることがあります。
この症例の他の治療例はこちら骨格性下顎前突症・過蓋咬合・下顎左側偏位
- 診断名・主訴
かかりつけの歯医者で受け口を指摘された
骨格性下顎前突症・過蓋咬合・下顎左側偏位
- 年齢・性別
10代・女性
- 治療期間・回数
マルチブラケット動的治療期間 2年7ヵ月 調整回数22回
- 治療に用いた主な装置
◎床装置 ◎リンガルアーチ
◎セラミック製 唇側セルフライゲーション型ブラケット装置
◎顎間ゴム
- 抜歯部位
非抜歯(小臼歯)・上下顎8番(親知らず)
- 治療費
検査料 ¥50,000+消費税
装置料 ¥750,000+消費税
調整管理料 ¥3,000+消費税×回数
- リスク・副作用
歯肉退縮・歯根吸収・歯の移動時の痛み・咬合や装置の違和感・虫歯・歯肉炎・口内炎・後戻り





骨格性下顎前突症・下顎骨の過成長
- 診断名・主訴
永久歯の生えるスペースが足りない・受け口を治したい。
骨格性下顎前突症・下顎骨の過成長
- 年齢・性別
10代・女性
- 治療期間・回数
マルチブラケット動的治療期間 4年7ヵ月 調整回数45回
- 治療に用いた主な装置
◎セラミック製 唇側セルフライゲーション型ブラケット装置
◎側方拡大装置 ◎顎間ゴム
- 抜歯部位
上顎両側4番・上下顎8番(親知らず)
- 治療費
保険診療
- リスク・副作用
歯肉退縮・歯根吸収・歯の移動時の痛み・咬合や装置の違和感・虫歯・歯肉炎・口内炎・後戻り





八重歯、乱杭歯、
過蓋咬合、叢生(そうせい)

歯並びがガタガタしている、噛み合わせが深い
犬歯が傾いて生える八重歯、歯が不規則に生える乱杭歯など、歯並びにはさまざまなパターンがあります。特に、上の前歯が下の前歯を深く覆い隠してしまう過蓋咬合は、噛むときに歯と歯が強くぶつかり合い、歯のすり減りや顎関節症を引き起こす可能性が高まります。また、叢生とよばれる歯がガタガタに並んだ状態も、歯を磨きにくく、虫歯や歯周病のリスクを高める原因となります。
これらの歯並びの乱れは、見た目の問題だけでなく、噛み合わせの悪さによる発音や食事への影響、さらにはお口の中の衛生状態を保つうえでも大きな障害となるため、早期の治療が望まれます。
- ・奥の歯を後方に移動
- ・前歯を前方に移動
- ・歯列を横方向に拡大
- ・上顎の骨全体を横に拡大
- ・永久歯の抜歯
重度の叢生・ハイアングルケース
- 診断名・主訴
上の八重歯・下のガタガタした歯並びを治したい
重度の叢生・ハイアングルケース
- 年齢・性別
30代、女性
- 治療期間・回数
マルチブラケット動的治療期間 2年0ヵ月 調整回数21回
- 治療に用いた主な装置
◎側方拡大装置
◎セラミック製 唇側セルフライゲーション型ブラケット装置
◎舌側加強固定装置 ◎顎間ゴム
- 抜歯部位
上下顎両側4番・上下顎8番(親知らず)
- 治療費
検査料 ¥50,000+消費税
装置料 ¥650,000+消費税
調整管理料 ¥3,000+消費税×回数
- リスク・副作用
歯肉退縮・歯根吸収・歯の移動時の痛み・咬合や装置の違和感・虫歯・歯肉炎・口内炎・後戻り


上下顎前突

上下両方の前歯が出ている
上の歯だけでなく下の歯も前に出ている状態を指します。噛み合わせが不安定になったり、特徴的な顔立ちになったりするだけでなく、発音や食事など日常生活にも支障をきたすことがあります。
この症例の他の治療例はこちら上顎前突・下顎両側中切歯の先天的欠如・上下口唇前突
- 診断名・主訴
上の内側に歯がある。下が特に歯並びが悪くいまだに乳歯が二本ある。
上下顎前突・軽度骨格性下顎前突・上顎前歯の唇側傾斜・叢生・下顎第二小臼歯の先天的欠如による第二乳臼歯の晩期残存・上顎右側側切歯の歯冠幅径不足(栓状歯)
- 年齢・性別
20代・女性
- 治療期間・回数
マルチブラケット動的治療期間 3年1ヵ月・24回
- 治療に用いた主な装置
◎セラミック製 唇側セルフライゲーション型ブラケット装置
- 抜歯部位
上顎両側4番・下顎両側E・上下顎8番(親知らず)
- 治療費
検査料 ¥50,000+消費税
装置料 ¥750,000+消費税
調整管理料 ¥3,000+消費税×回数
- リスク・副作用
歯肉退縮・歯根吸収・歯の移動時の痛み・咬合や装置の違和感・虫歯・歯肉炎・口内炎・後戻り





開咬

前歯が噛んでいない
奥歯は噛み合っているのに、前歯で食べ物を噛み切れない状態です。指しゃぶりや舌癖(舌を前方に突き出すなどの癖)、顎骨の成長のバランスが崩れることなどが原因で起こり、放置していても自然に治ることはほとんどありません。この状態が下顎前突と合わさって現れてしまうと、顎の骨切り手術が必要になるほど症状が悪化することもあるため、早めの治療が大切です。特に、体の成長が活発化する小学生までの間に治療を始めることで、顎骨の成長が促され、より良い治療効果が期待できます。
この症例の他の治療例はこちら前歯部開口・叢生・上下顎前突
- 診断名・主訴
上の前歯の並びが揃っていない
前歯部開口・叢生・上下顎前突
- 年齢・性別
9歳・女性
- 治療期間・回数
マルチブラケット動的治療期間 3年4ヵ月 調整回数30回
- 治療に用いた主な装置
◎タングクリブ付き床装置
◎セラミック製 唇側セルフライゲーション型ブラケット装置
◎顎間ゴム
- 抜歯部位
上顎両側4番・下顎両側5番・上下顎8番(親知らず)
- 治療費
検査料 ¥50,000+消費税
装置料 ¥650,000+消費税
調整管理料 ¥3,000+消費税×回数
- リスク・副作用
歯肉退縮・歯根吸収・歯の移動時の痛み・咬合や装置の違和感・虫歯・歯肉炎・口内炎・後戻り





● 治療における注意点等
矯正治療にともなう一般的なリスク・副作用
・矯正治療の一般的な治療費は60万~150万円、一般的な治療期間は2~3年、一般的な治療回数は24~36回となります。使用する装置、症状や治療の進行状況などにより変化しますので、参考程度にお考えいただき、詳細は歯科医師にご確認ください。
・機能性や審美性を重視するため、公的健康保険対象外の自費診療となり、保険診療よりも高額になります。
・当院でご提供している「クリッピーC」「デーモンクリア」は、薬機法(医薬品医療機器等法)において承認されている装置です。
・最初は矯正装置による不快感、痛みなどがあります。数日から1~2週間で慣れることが多いです。
・治療期間は症例により異なりますが、成人矯正や永久歯がすべて生えそろっている場合は、一般的に1年半~3年を要します。小児矯正においては、混合歯列期(乳歯と永久歯が混在する時期)に行なう第1期治療で1~2年、永久歯がすべて生えそろったあとに行なう第2期治療で1~2年半を要することがあります。
・歯の動き方には個人差があるため、治療期間が予想より長期化することがあります。
・装置や顎間ゴムの扱い方、定期的な通院など、矯正治療では患者さまのご協力がたいへん重要であり、それらが治療結果や治療期間に影響します。
・治療中は、装置がついているため歯が磨きにくくなります。虫歯や歯周病のリスクが高まるので、丁寧な歯磨きや定期メンテナンスの受診が大切です。また、歯が動くことで見えなかった虫歯が見えるようになることもあります。
・歯を動かすことにより歯根が吸収され、短くなることがあります。また、歯肉が痩せて下がることがあります。
・ごくまれに、歯が骨と癒着していて歯が動かないことがあります。
・ごくまれに、歯を動かすことで神経に障害を与え、神経が壊死することがあります。
・治療中に金属などのアレルギー症状が出ることがあります。
・治療中に、「顎関節で音が鳴る、顎が痛い、口をあけにくい」などの顎関節症状が出ることがあります。
・問題が生じた場合、当初の治療計画を変更することがあります。
・歯の形状の修正や、噛み合わせの微調整を行なうことがあります。
・矯正装置を誤飲する可能性があります。
・装置を外すときに、エナメル質に微小な亀裂が入る可能性や、補綴物(被せ物など)の一部が破損することがあります。
・装置を外したあと、保定装置を指示どおりに使用しないと後戻りが生じる可能性が高くなります。
・装置を外したあと、現在の噛み合わせに合わせて補綴物(被せ物など)の作製や虫歯治療などをやり直す可能性があります。
・顎の成長発育により、歯並びや噛み合わせが変化する可能性があります。
・治療後に、親知らずの影響で歯並びや噛み合わせが変化する可能性があります。
・加齢や歯周病などにより、歯並びや噛み合わせが変化することがあります。
・矯正治療は、一度始めると元の状態に戻すことが難しくなります。
裏側矯正にともなう一般的なリスク・副作用
・機能性や審美性を重視するため、公的健康保険対象外の自費診療となり、保険診療よりも高額になります。
・装置に慣れるまで発音しづらいなどの症状が出ることがあります。
・矯正装置を装着している期間は、適切に歯磨きができていないと、虫歯や歯周病にかかりやすくなります。歯磨き指導をしますので、毎日きちんと歯を磨き、口腔内を清潔に保つようご協力をお願いします。
・歯磨き、エラスティック(顎間ゴム)の使用、装置の取り扱い、通院などを適切に行なっていただけない場合、治療の期間や結果が予定どおりにならないことがあります。
・成長期の患者さまの治療では、顎骨の成長を予測し、現段階において適切な治療を行ないますが、まれに予期できない顎の成長や変化によって治療法や治療期間が大きく変わることがあります。また、顎の変形が著しい場合には、矯正治療に外科的処置を併用することがあります。
・歯を移動させることにより、まれに歯根の先端がすり減って短くなる「歯根吸収」を起こすことがあります。しかし、適切な矯正力で歯を移動させることでセメント質(歯根表面を覆っている組織)が修復されるため、歯根吸収のリスクを軽減できます。
・歯の周囲の組織は、治療前の状態に戻ろうと「後戻り」する性質があるため、治療後も数ヵ月から1年に1回ほどの頻度で通院いただいて歯の状態を管理し、後戻りを防ぐ必要があります。
薬機法において承認されていない医療機器「インコグニート」について
当院でご提供している「インコグニート」は、薬機法(医薬品医療機器等法)においてまだ承認されていない医療機器となりますが、当クリニックではその有効性を認め、導入しています。
◦未承認医薬品に該当
薬機法上の承認を得ていません(独立行政法人 医薬品医療機器総合機構ウェブサイトにて2025年2月10日最終確認)。
◦入手経路等
3M Unitek GmbH、スリーエムジャパン株式会社より入手しています。
◦国内の承認医療機器等の有無
国内では、インコグニートと同様の性能を有した承認医療機器は存在しない可能性があります(独立行政法人 医薬品医療機器総合機構ウェブサイトにて2025年2月10日最終確認)。
◦諸外国における安全性等にかかわる情報
情報が不足しているため、ここではインコグニートの諸外国における安全性等にかかわる情報は明示できません。今後重大なリスク・副作用が報告される可能性があります。
◦医薬品副作用被害救済制度・生物由来製品感染等被害救済制度の救済対象外
国内で承認を受けて製造販売されている医薬品・医療機器(生物由来等製品である場合に限る)・再生医療等製品による副作用やウイルス等による感染被害で、万が一健康被害があったとき、「医薬品副作用被害救済制度」「生物由来製品感染等被害救済制度」などの公的な救済制度が適用されますが、未承認医薬品・医療機器・再生医療等製品の使用は救済の対象にはなりません。また、承認を受けて製造販売されている医薬品・医療機器・再生医療等製品であっても、原則として決められた効能・効果、用法・用量および使用上の注意に従って使用されていない場合は、救済の対象にはなりません。
日本では、完成物薬機法対象外の矯正装置であり、医薬品副作用被害救済制度の対象外となります。
※当該未承認医薬品・医療機器を用いた治療の広告に対する注意事項の情報の正確性について、本ウェブサイトの関係者は一切責任を負いません。
インプラント矯正にともなう一般的なリスク・副作用
・公的健康保険対象となる使用方法と、公的健康保険対象外の自費診療となる使用方法があり、自費診療となる場合は保険診療よりも高額になります。
・骨と化学的な結合をしないため、患者さまの骨の状態や口腔衛生状態によっては脱落することがあります。
・脱落した場合は再埋入を行なうことがあります。脱落部分の骨の穴が回復するまで数ヵ月の時間を要するため、別の部分に埋め込むことがあります。
・歯科矯正用アンカースクリューは骨に埋まっていますが、その頭部は歯肉の外にあるため、ケアを怠ると骨に感染することがあります。
・歯科矯正用アンカースクリューは歯根の間に埋入されることが多いため、埋入時に歯根を傷つけることがあります。
外科矯正にともなう一般的なリスク・副作用
・公的健康保険対象となるのは、自立支援医療(育成医療・更生医療)指定医療機関または顎口腔機能診断施設の指定を受けた医療機関のみとなります。指定を受けていない医療機関での外科矯正治療は、公的健康保険対象外の自費診療となり、保険診療よりも高額になります。
・手術は全身麻酔のもとで行ないます。
・2~3週間程度の入院が必要となり、入院前には検査のために通院していただきます。
・手術後は部分的な麻痺やしびれが出ることや、まれに鼻の変形が見られることがあります。
・骨を固定するために頬側からビスを入れてプレートを留める場合、数ミリの切開が必要となることがあります。ただし、ほとんどわからない程度の小さな傷です。
・手術後しばらくは口があまり開かないので、食生活に不都合を感じることがあります。
・手術後半年から1年くらいで、プレート除去手術のため再度1週間程度の入院が必要となることがあります。







