受け口を気にされ、他院からの紹介で来院|滋賀の矯正歯科専門医院【ウイング栗東矯正歯科クリニック】

診療時間
月・火・金 12:00~13:30 / 15:30~21:00
土 9:00~13:30 / 15:30~19:00
矯正相談無料
menu
診療時間
月・火・金 12:00~13:30 / 15:30~21:00
土 9:00~13:30 / 15:30~19:00
矯正相談無料
Case
症例ブログ

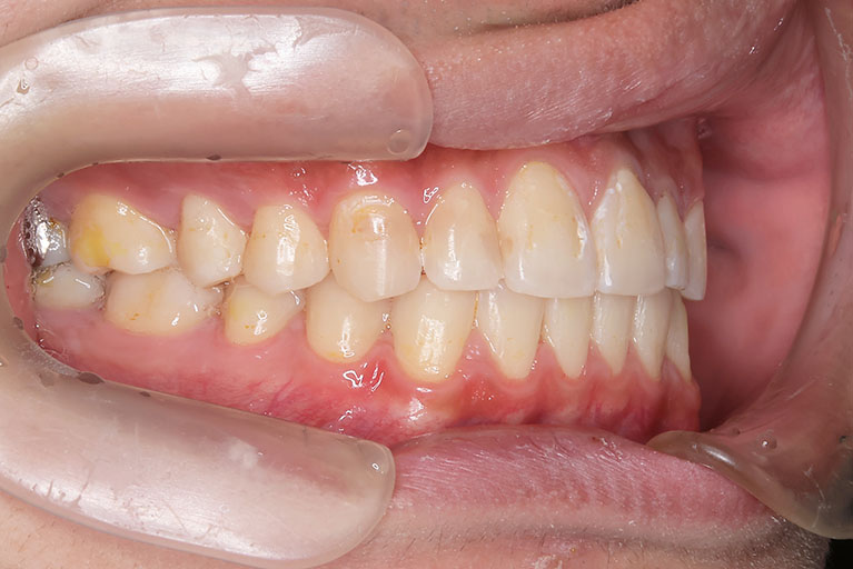
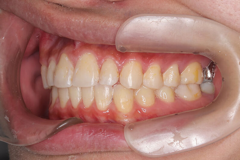
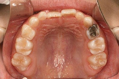
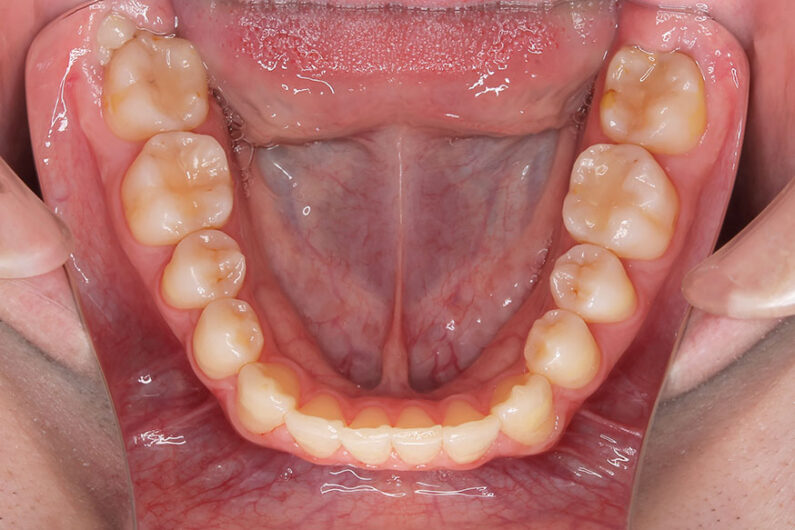
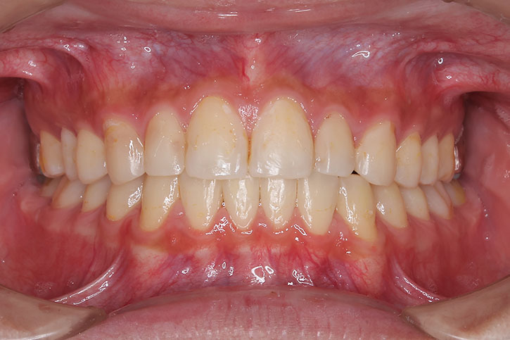
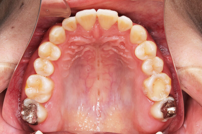
受け口を気にされ、他院からの紹介で来院

今月の患者さん

受け口を気にされ、他院からの紹介で来院された患者さんです。

小学2年生、生え変わりの時期から小児矯正を開始しました。

 

小児矯正で前歯の咬み合わせを改善し、

永久歯列完成後の中学生から非抜歯治療にて本格矯正を開始。

配列し仕上げました。

 

受け口の治療は、前歯の交換時期(小学校1年生ごろ)から小児矯正を始めることをお勧めします。

この時期に前歯の咬み合わせを治しておくことが後々重要になります。

 

 

 

 

 

 

 

 

 

 

 

 

 

 

 

 

 

 

 

 

 

 

 

 

 

 

 

 

 

 

 

 

 

 

 

 

 

 

最新記事

カテゴリー

月別アーカイブ

人気のある記事