今月の患者さん
2025年08月20日
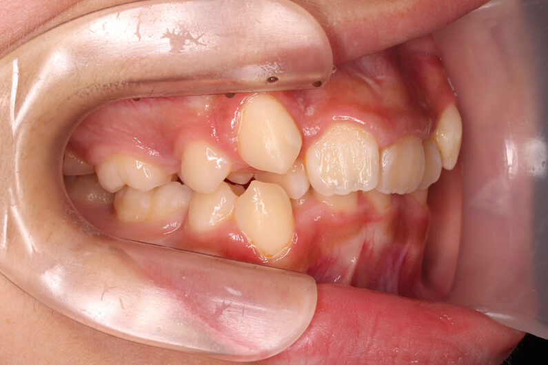
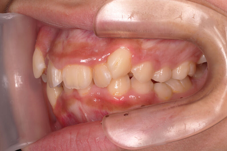
他院から紹介の患者さんです。 歯列全体の重度の叢生(がたつき)で、前歯のかみ合わせが深く(過蓋咬合)、奥歯のかみ合わせは出っ歯傾向(上の奥歯が下の奥歯よりも前にずれている)です。 左側の第二大臼歯は鋏状咬合で、上下の歯は接触せず、すれ違いのかみ合わせをしています。 治療は、小臼歯抜歯と側方拡大および、上顎臼歯(奥歯)の遠心移動を行い、スペースを確保しました。ミニインプラント(アンカースクリュー)は、希望により使用しませんでした。 マルチブラケット(+側方拡大装置) 動的治療期間 2年8か月 調整回数22回 遠くから通院して下さり大変だったと思いますが、治療に満足されていたので安心しました。
| ||
|
|
|





















