今月の患者さん
2025年10月01日
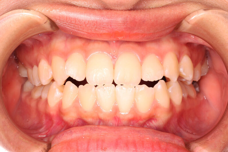
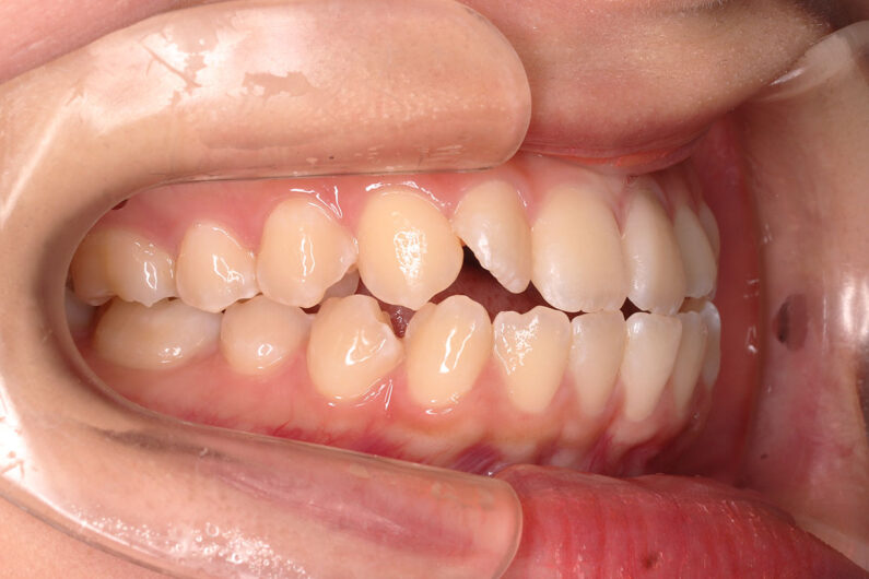
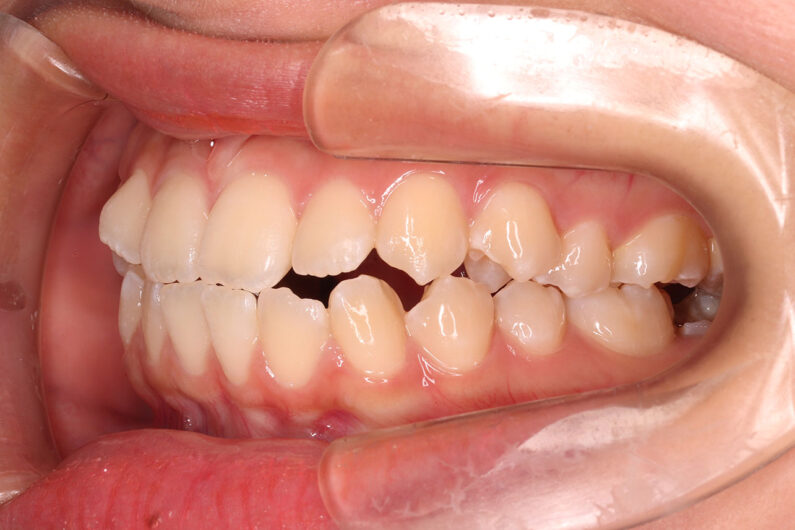
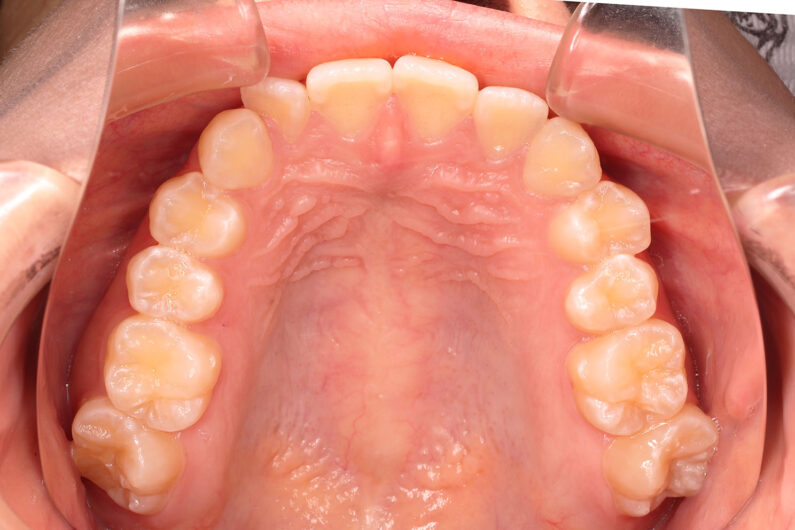
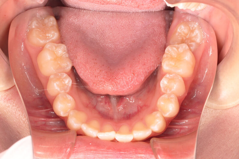
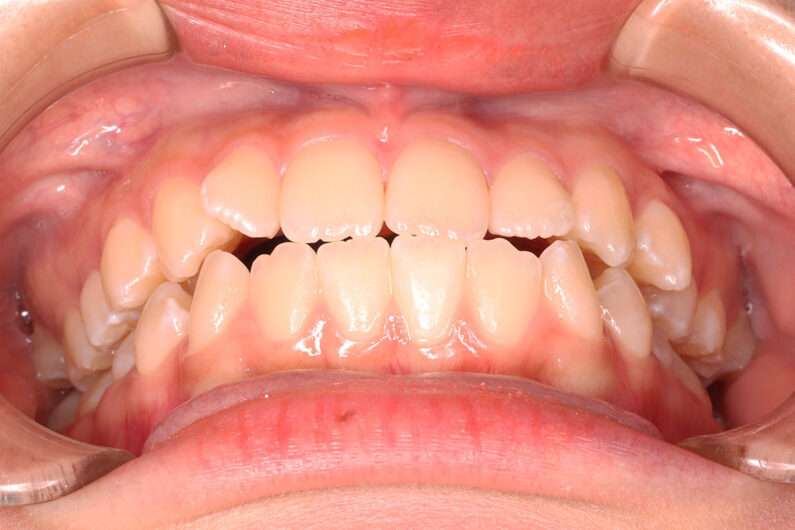
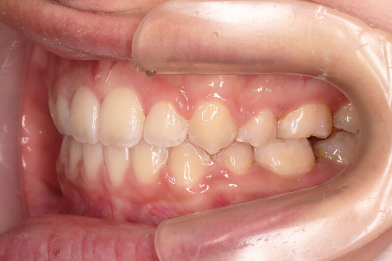
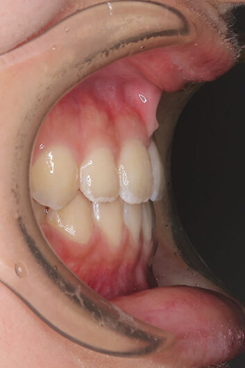
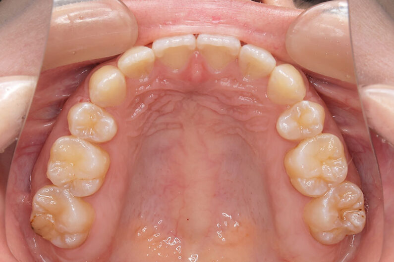
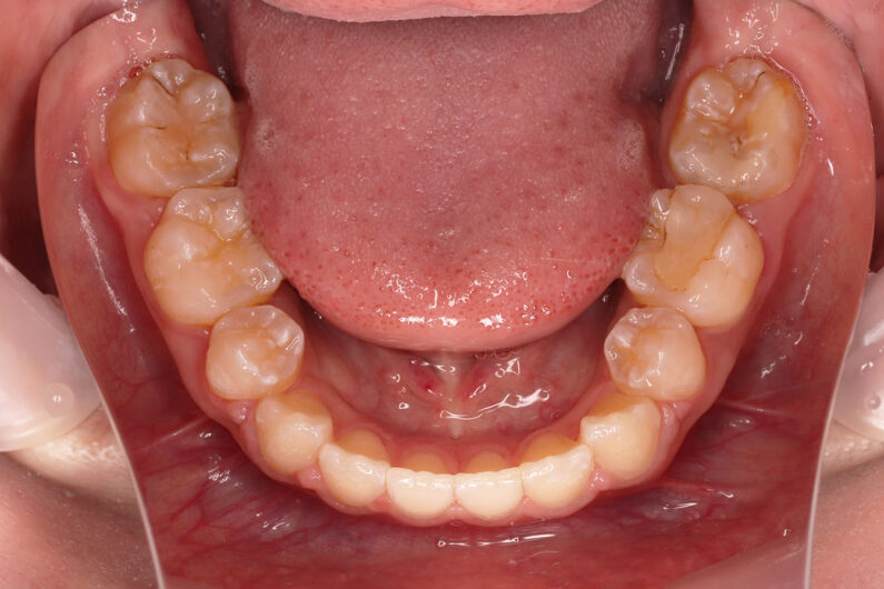
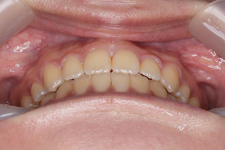
上下の前歯が咬み合っていないことを気にされ、治療を開始した患者さんです。 前歯部は切端咬合で開咬です。 それだけではなく、上顎の奥歯が外側(頬側)に飛び出てして下の歯と咬んでいません。 そして下顎左側の奥歯が前の歯に引っかかっていて、生えきれず、埋まった状態になっています。 分析結果から、骨格的には、下顎が上顎より大きい下顎前突症でもありました。 治療は、前歯および奥歯の咬み合わせの改善と下顎左側奥歯(第二大臼歯)の廷出(引っぱり出すこと)を目的として、小臼歯抜歯による治療を行いました。
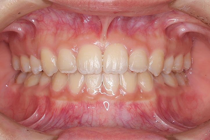
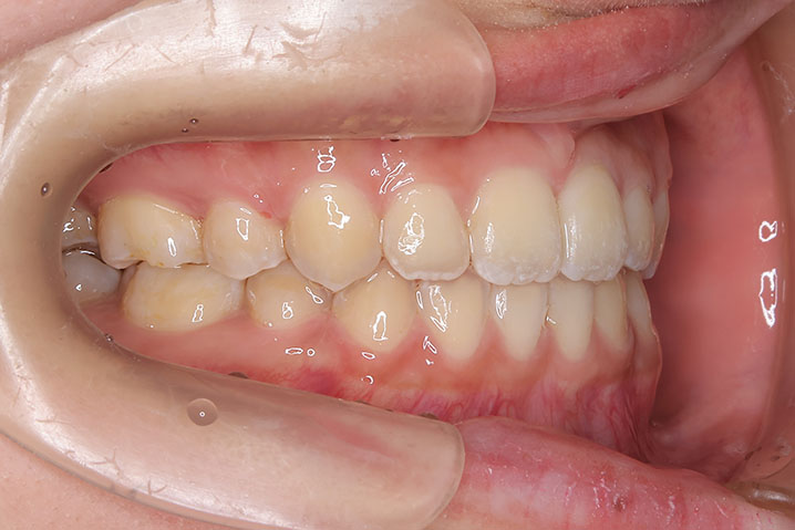
治療の後半の来院間隔が長かったことで、治療期間が平均より1年ほど長くなっていますが、治療目的はすべて達成できました。
| ||
|
|
|





















