今月の患者さん
2024年09月09日
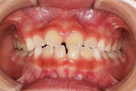
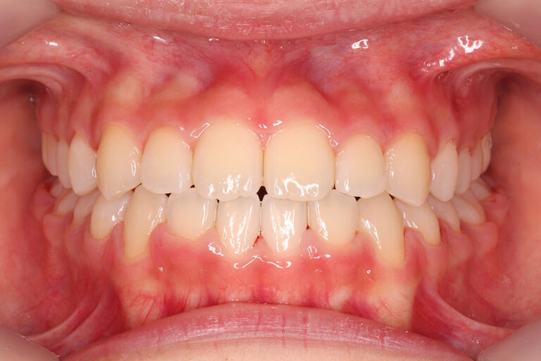
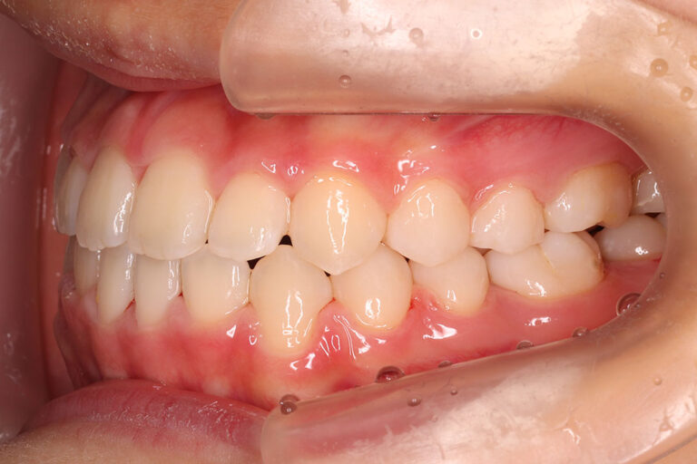
| 小児矯正から始められた受け口傾向の患者さんです。
前歯が反対咬合で、永久歯の萌出スペース不足による上顎前歯部の叢生(がたつき)が予測できる患者さん。 骨格的に、上顎と比べ下顎が大きく、成長によっては外科手術になる可能性もありましたが、 外科手術はせず、矯正治療のみで咬み合わせを改善しています。 小児矯正で、前歯部の被蓋(重なり)の改善まで治療を行い、下顎の成長を観察した後に、 永久歯列から、マルチブラケット装置により非抜歯にて配列しました。 来院間隔1.5カ月でしたが、平均より短く治療を終えることが出来ました。 マルチブラケット 動的治療期間 2年1か月 調整回数14回
| ||
|
|
|



















