前歯のがたつきと、出っ歯感を気にされていた患者さん|滋賀の矯正歯科専門医院【ウイング栗東矯正歯科クリニック】

診療時間
月・火・金 12:00~13:30 / 15:30~21:00
土 9:00~13:30 / 15:30~19:00
矯正相談無料
menu
診療時間
月・火・金 12:00~13:30 / 15:30~21:00
土 9:00~13:30 / 15:30~19:00
矯正相談無料
Case
症例ブログ

前歯のがたつきと、出っ歯感を気にされていた患者さん

今月の患者さん

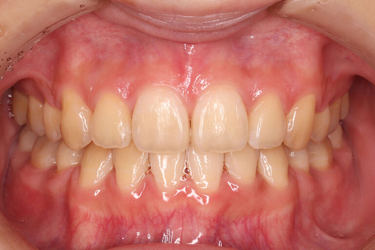
前歯のがたつきと、出っ歯感を気にされていた患者さんです。

 

上下顎前突と前歯部の叢生で、上顎前歯が3.5ミリ下顎前歯が2.5ミリ前突していました。

並べるだけでなく、前突した上下顎前歯の改善を目的とするため、

小臼歯抜歯によるマルチブラケット装置での動的治療開始しました。

マルチブラケット 動的治療期間 2年4か月

前歯の位置を後方に移動させたので、口元、エステティックラインも良くなりました。

 

 

 

 

 

 

 

 

 

 

 

 

 

 

 

 

 

 

 

 

 

 

 

 

 

 

 

 

 

 

最新記事

カテゴリー

月別アーカイブ

人気のある記事