今月の患者さん
2024年09月15日
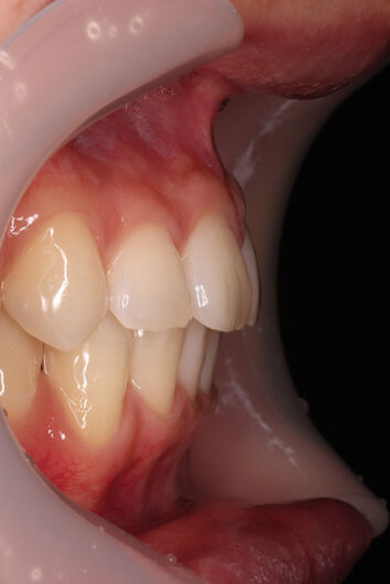
| 上下顎前歯の叢生(がたつき)と上顎歯列の正中が顔面正中より極端に左側にずれている事を気にされ、治療を決断されました。
上顎左側犬歯が頬側に飛び出ているため、正中が1歯分(5mm)、左側にずれています。 さらに、上下顎左側奥歯(第二大臼歯)が鋏状咬合で全く咬んでいません。 叢生の改善と、ずれている上顎正中を右側に移動させるため、小臼歯抜歯での治療を開始しました。 左右の歯の大きさの違いがある分は、治療後も僅かなズレとして残ります。 来院間隔が平均1カ月毎でしたが、調整回数は36回と少し多めでした。 左側の奥歯(第二大臼歯)の鋏状咬合の改善に時間を費やしました。 マルチブラケット 動的治療期間 2年10か月 調整回数36回 歯並びの左右非対称な状態が改善され満足されていましたので本当に良かったと思います。
| ||
|
|
|





















