今月の患者さん
2026年02月03日
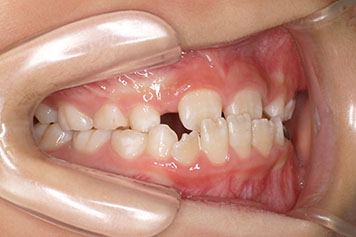
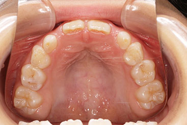
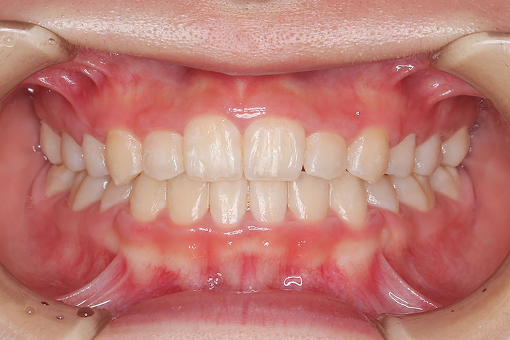
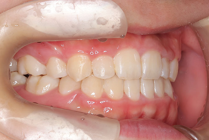
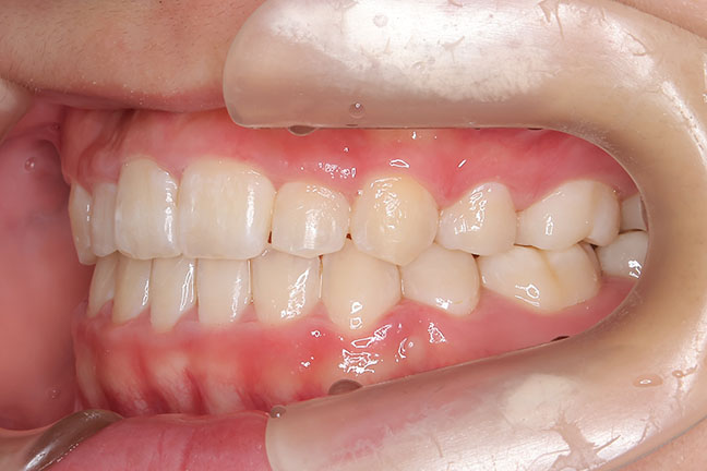
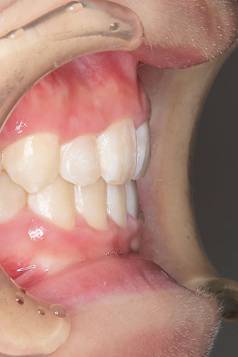
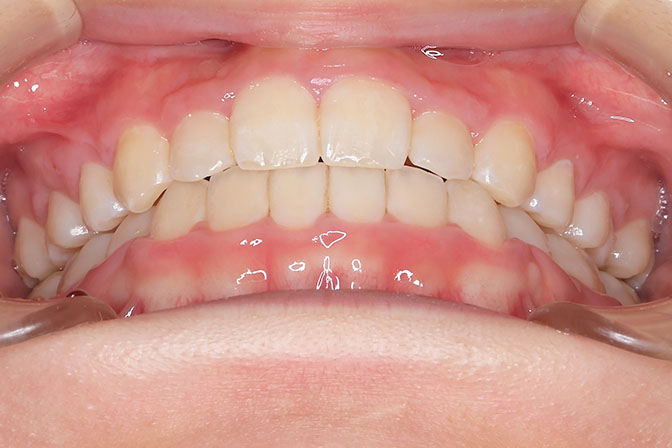
反対咬合を治したい。 小児矯正から治療をスタートした患者さんです。 受け口は見てわかりやすく、永久歯の前歯が生えてきた頃から、早期治療を希望する方が多いです。 前歯の逆被蓋(下の前歯が上より前方にある状態)は、下顎を更に前方に成長させやすい状態です。
たとえ早期治療によって前歯のかみ合わせを改善していても、下顎の成長の旺盛な方は、上顎前歯を越えてさらに前方に成長することがあります。 その場合は、外科手術が適応になる事もあります。
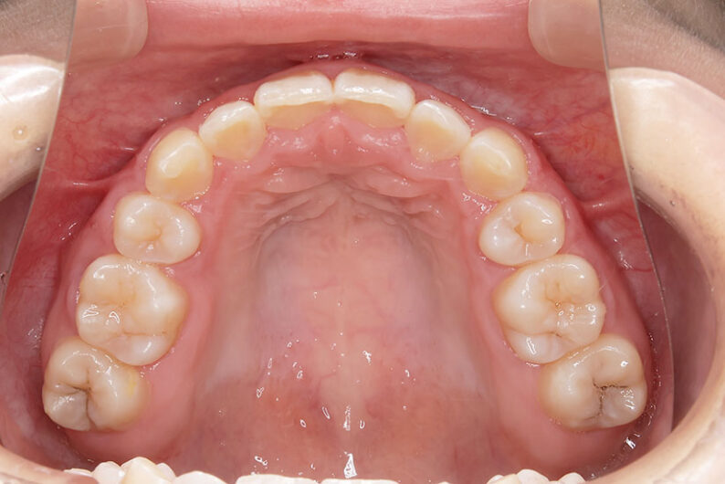
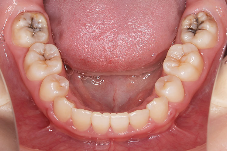
この患者さんは、 永久歯に生え変わるまで経過観察を行いました。 下顎の更なる前方成長はありませんでしたが、 がたつきが強かった(叢生量が大きい)ので、本格矯正では小臼歯抜歯を選択しました。
平均来院間隔2か月に1度の来院でした。
| ||
|
|
|























