今月の患者さん
2026年01月23日
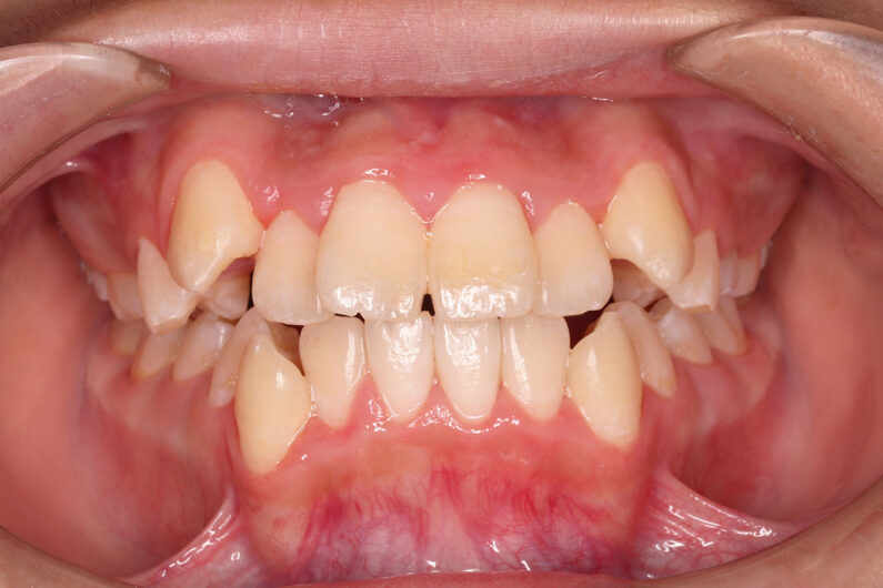
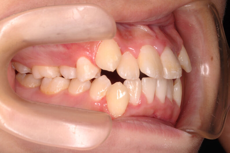
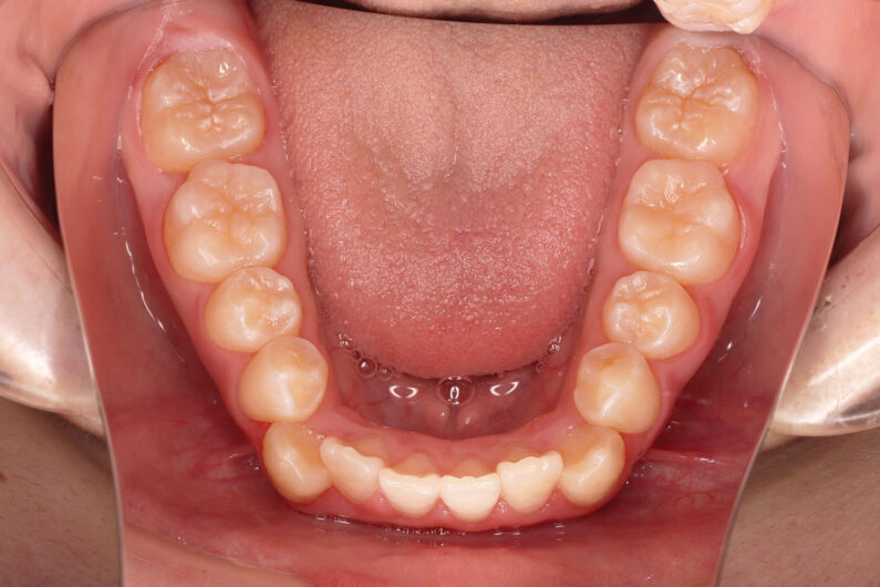
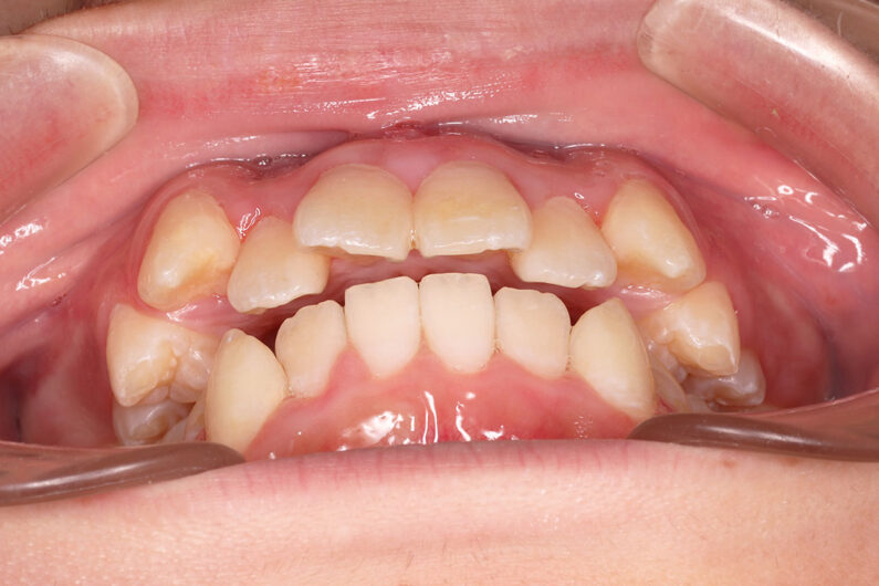
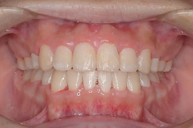
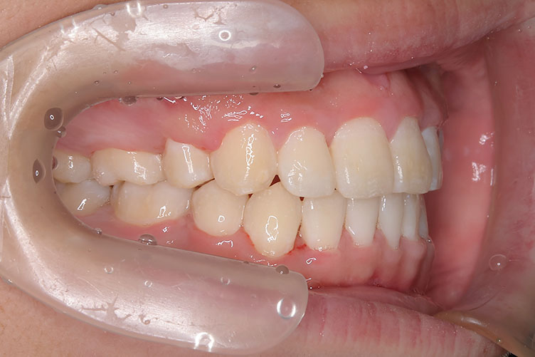
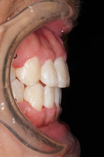
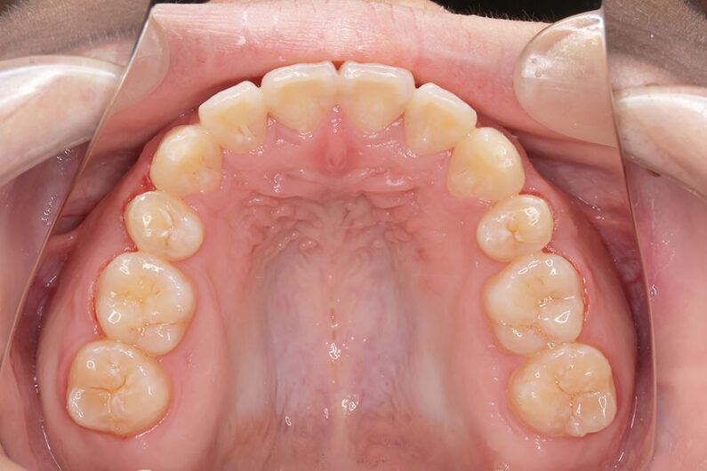
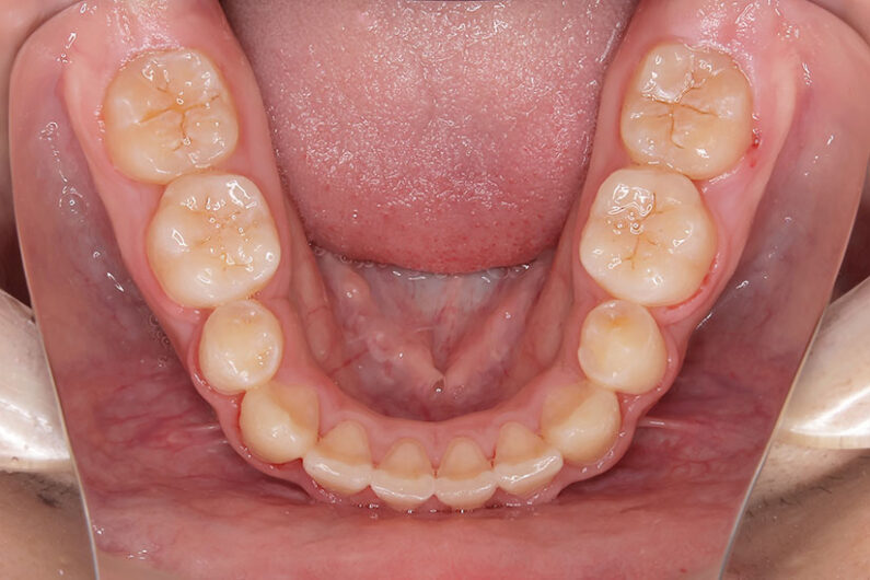
『乳歯列でがたつきがある、永久歯に生え変わるスペースが足りない』 一般歯科医院で指摘され来院された患者さんです。 取り外しのできる装置で小児矯正から開始したのですが、装置はあまりつけておらず効果が期待できませんでした。 永久歯がすべて生えそろってから本格矯正(マルチブラケット装置)で治療を再開。 ハイアングルで、開咬傾向。 治療後に前歯が前突前方傾斜させない事を考慮し、小臼歯抜歯したスペースで配列し終了しています。
遠方からの来院でしたので、平均来院間隔2か月に1度の来院でした。
| ||
|
|
|























