2026年02月24日
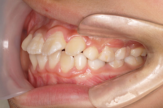
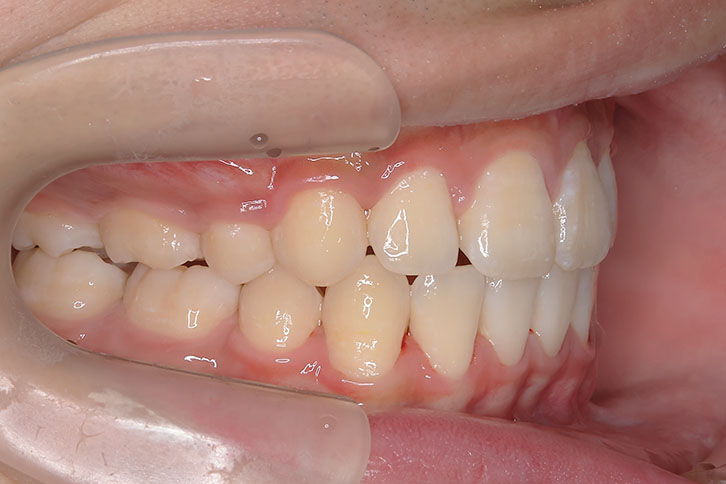
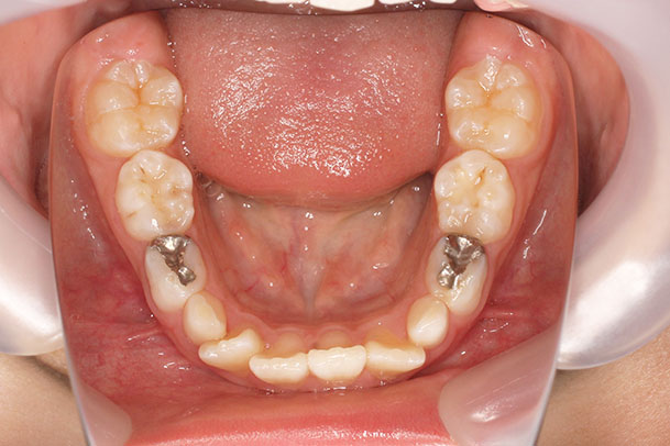
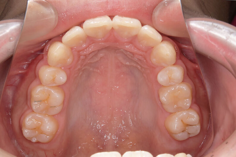
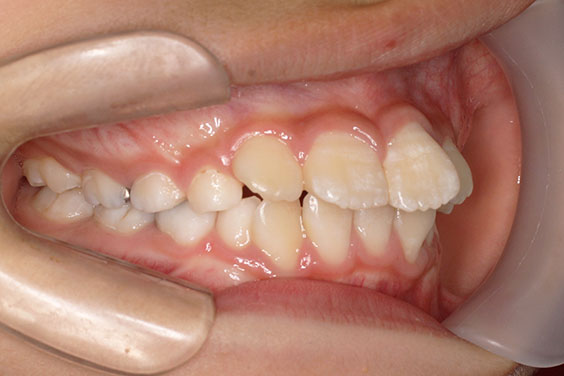
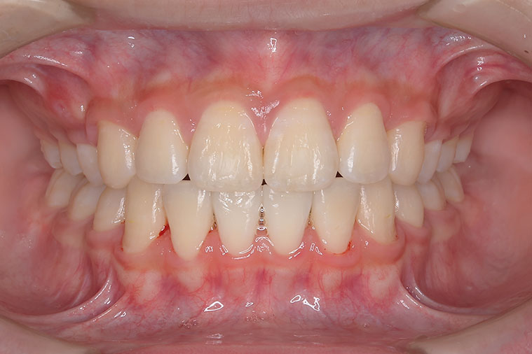
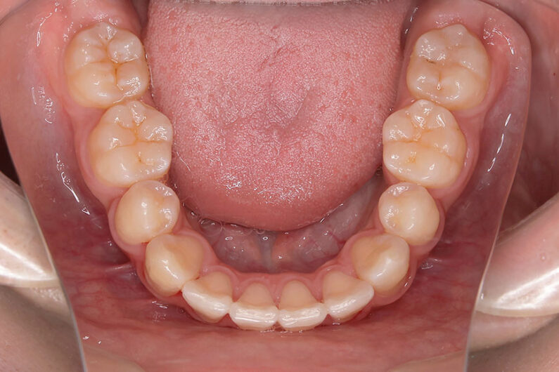
歯が重なっている、出っ歯を治したい 以前に治療した方からの紹介で来院した患者さんです。 上下顎前歯部の叢生(がたつき)、上下顎前歯の前方傾斜、 骨格的上顎前突傾向でした。 小児矯正で叢生の緩和を行い、 本格矯正で前方傾斜した前歯の改善を行いました。 マルチブラケット 動的治療期間 3年3か月 調整回数25回
平均来院間隔1.5か月に1度の来院でした。 治療後は後戻りの軽減するために、親知らず(第三大臼歯)の抜歯をお勧めしています。
|







| 
| 






|
カテゴリ:お知らせ,凹凸の歯並び,小児矯正,本格矯正