今月の患者さん
2025年12月03日
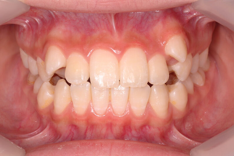
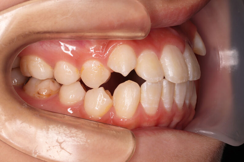
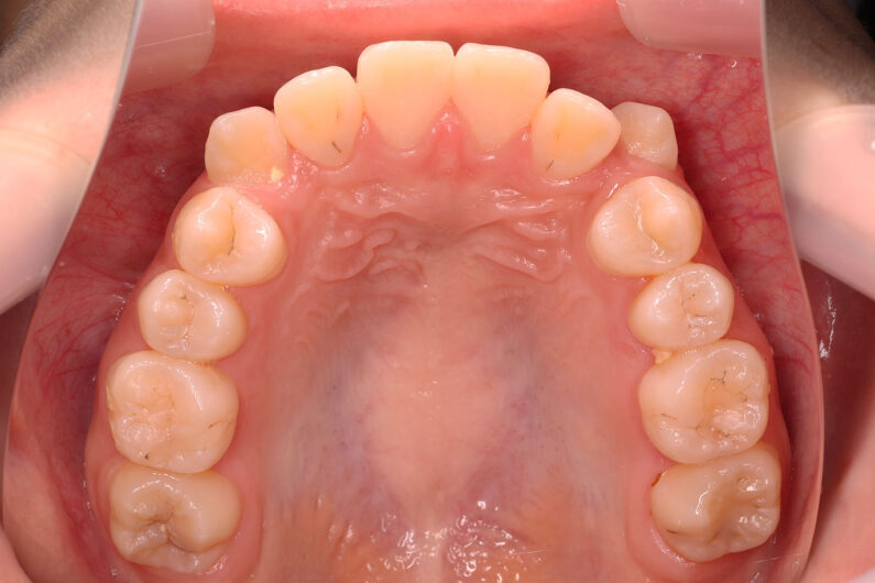
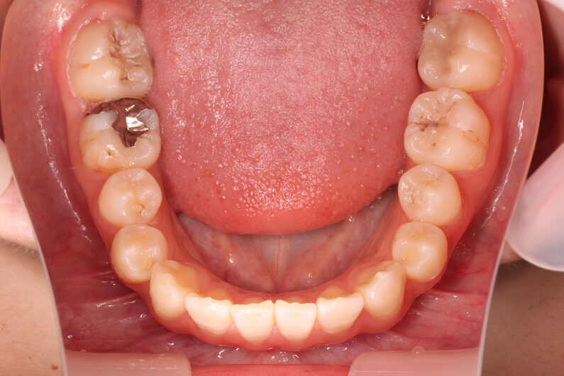
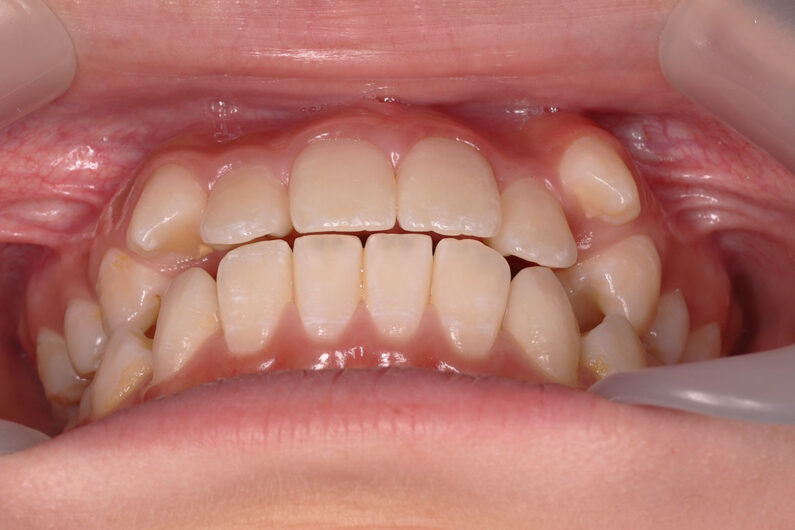
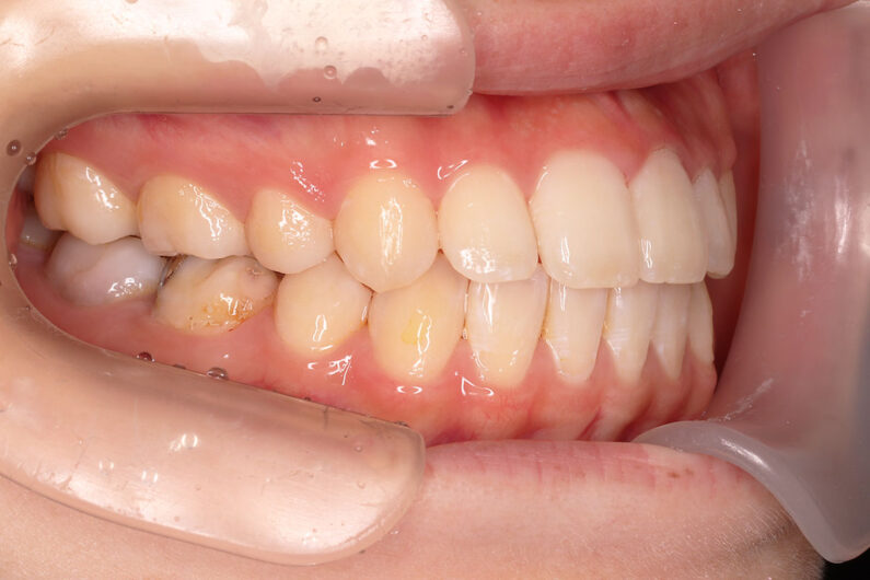
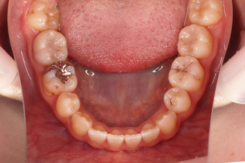
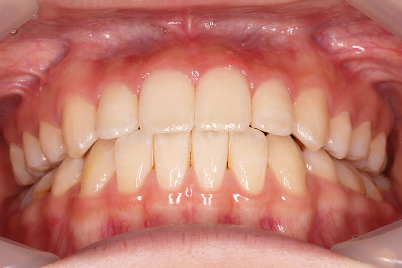
前歯のがたつきを気にされていた患者さんです。 上顎の叢生(がたつき)が強く、上顎の正中が左側にずれています。(上顎正中左側偏位) 前歯が、上2mm 下3mm前突している上下顎前突です。 骨格は下顎が上顎より少し大きい下顎前突傾向でした。 通常通り、小臼歯抜歯による治療を開始。
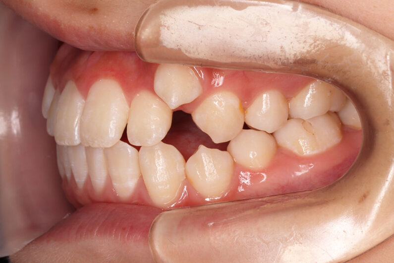
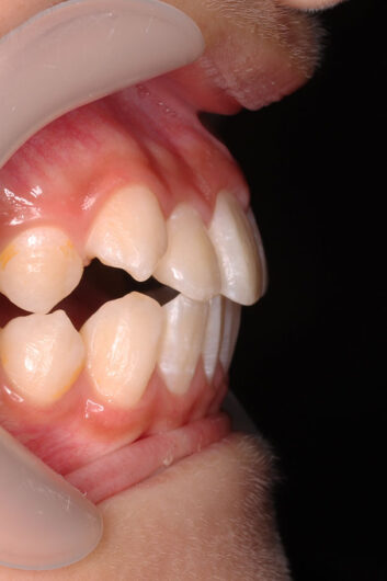
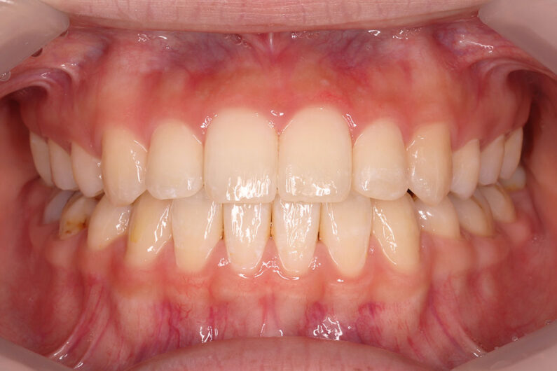
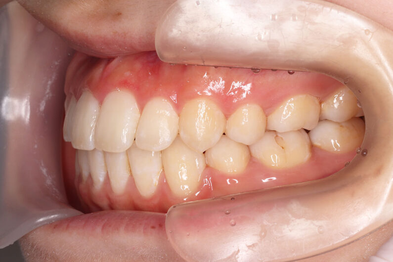
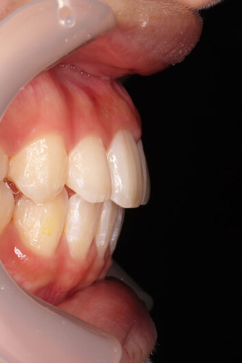
前歯のがたつき、左側にずれていた正中も改善しました。 治療前より前歯の位置は上下顎とも下げていますので、エステティックラインも良くなっています。 治療後、配列した歯列を長持ちさせるため、親知らず(第三大臼歯)は抜歯することをお勧めしています。
| ||
|
|
|























