今月の患者さん
2025年12月17日
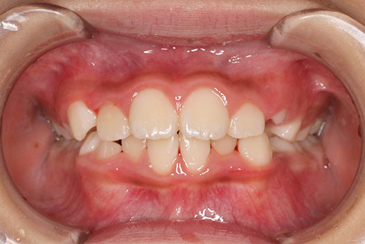
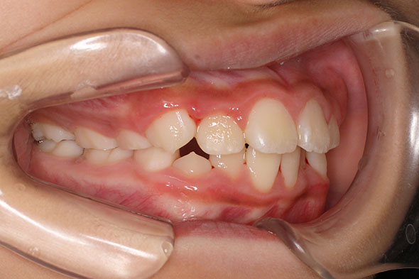
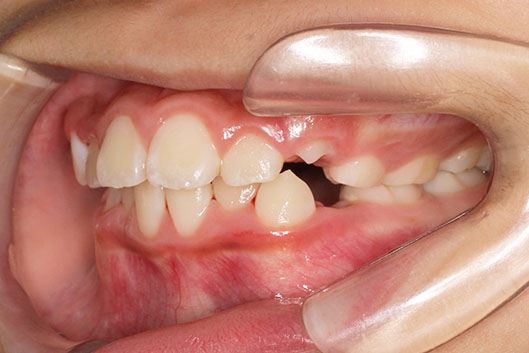
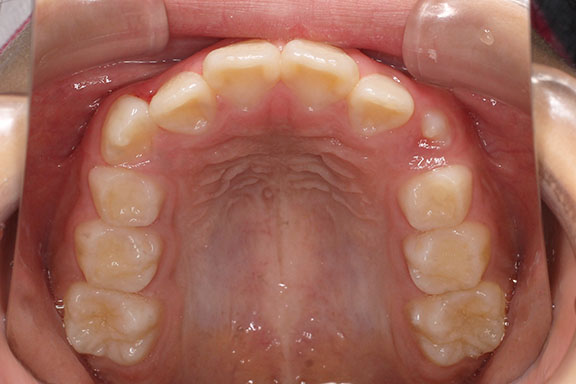
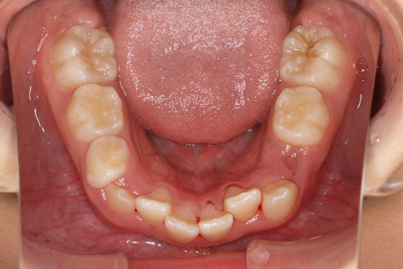
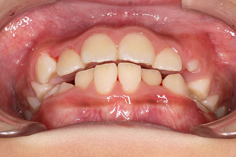
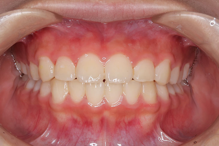
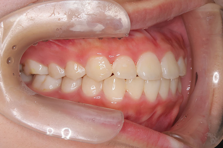
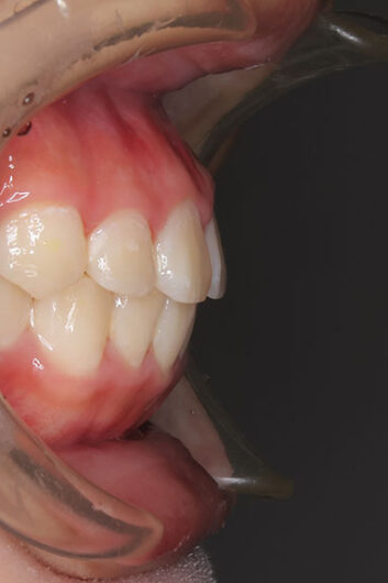
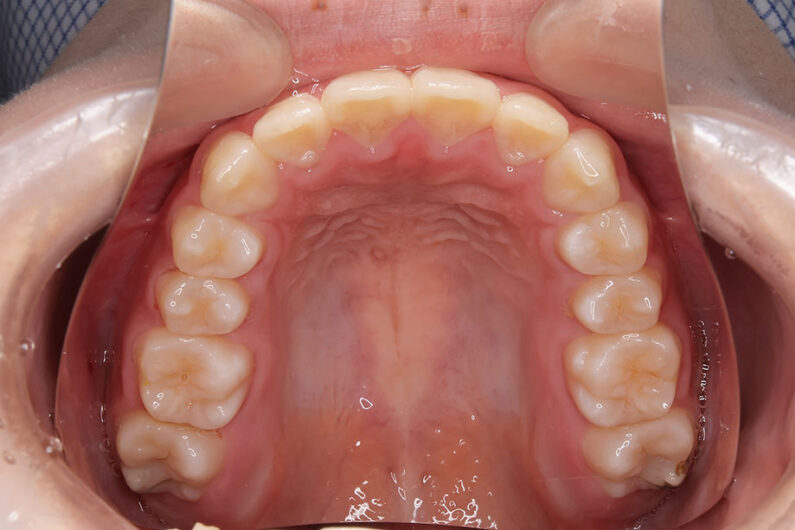
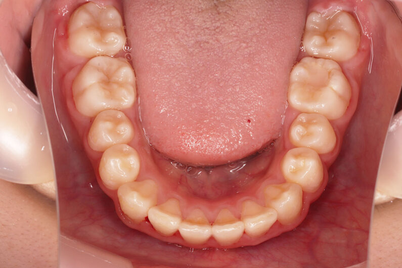
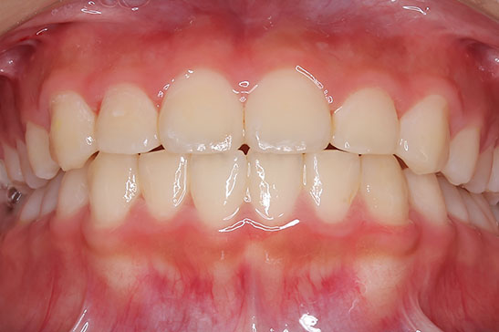
側方歯(犬歯、小臼歯)の生え変わりの時期。 前歯のがたつきを気にされ、小児矯正からの治療を希望されました。 お母様は、矯正治療経験済みですので、治療には前向きで早期治療の必要性を納得されていました。 小児矯正では、永久歯の生え変わるためのスペースを増加させ、がたつきを軽減させることを目的で行います。 残ったがたつきは、全ての永久歯が生え変わってから、本格矯正(マルチブラケット装置での治療)で改善しています。 比較的、叢生量は少ないため、本格矯正は非抜歯にて配列しました。
マルチブラケット 動的治療期間 2年6か月 調整回数16回 特に問題もなく、保定後も安定しています。
| ||
|
|
|





















