2025年10月22日
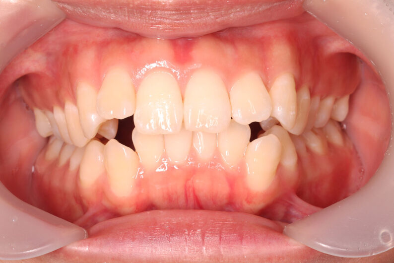
特に人に見える場所の上下ガタガタの歯並びを治したい。と来院された患者さんです。 前歯は叢生(がたつき)で、下顎が小さく骨格的に出っ歯傾向、上下の歯は前方に強く傾斜しています。 上顎前歯は7mm、下顎前歯は4mm、重度の上下顎前突でした。 患者さんの希望によりアンカースクリューは使用せず、小臼歯抜歯と顎間ゴムによる臼歯の遠心移動を選択。治療を開始しました。 マルチブラケット 動的治療期間 3年0か月 調整回数26回
顎間ゴムの協力度が高かったので、アンカースクリューが無くても良好な仕上がりです。 |







| 
| 






|
カテゴリ:お知らせ,凹凸の歯並び,小児矯正,本格矯正