重度の前歯部叢生(がたつき)の患者さん|滋賀の矯正歯科専門医院【ウイング栗東矯正歯科クリニック】

診療時間
月・火・金 12:00~13:30 / 15:30~21:00
土 9:00~13:30 / 15:30~19:00
矯正相談無料
menu
診療時間
月・火・金 12:00~13:30 / 15:30~21:00
土 9:00~13:30 / 15:30~19:00
矯正相談無料
Case
症例ブログ

重度の前歯部叢生(がたつき)の患者さん

今月の患者さん

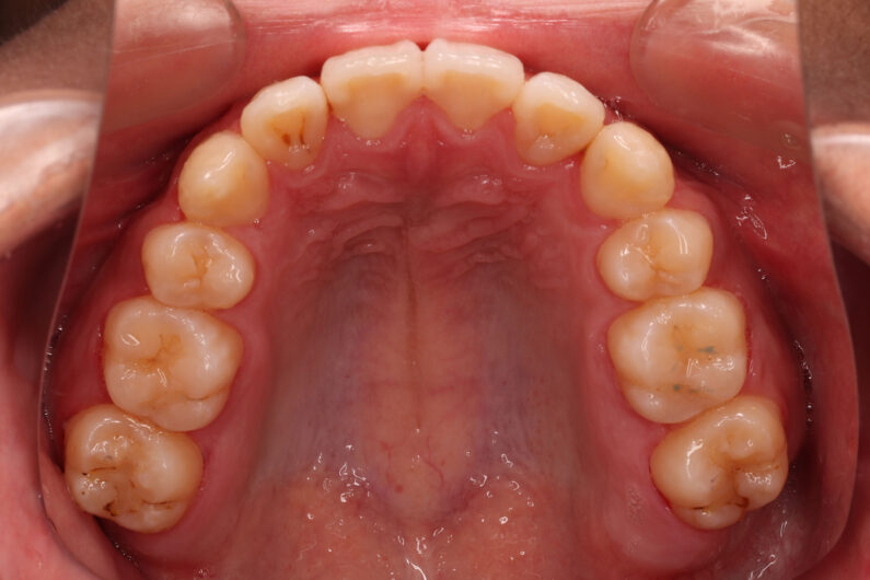
前歯部に重度の叢生(がたつき)のある患者さんです。

上顎の犬歯(八重歯)を小臼歯抜歯したスペースに移動させ配列しました。

下顎の抜歯スペースは、左側にずれている下顎の正中を補正する為に使用しました。

26回調整でしたが、学校や習い事のため、来院間隔が長く、動的治療期間3年4か月です。

 

 

 

 

 

 

 

 

 

 

 

 

 

 

 

 

 

 

 

 

 

 

 

 

 

 

 

 

 

 

 

 

 

 

 

 

 

最新記事

カテゴリー

月別アーカイブ

人気のある記事