叢生(がたつき)は少ないのですが、上顎前突(出っ歯)を気にされていた患者さん|滋賀の矯正歯科専門医院【ウイング栗東矯正歯科クリニック】

診療時間
月・火・金 12:00~13:30 / 15:30~21:00
土 9:00~13:30 / 15:30~19:00
矯正相談無料
menu
診療時間
月・火・金 12:00~13:30 / 15:30~21:00
土 9:00~13:30 / 15:30~19:00
矯正相談無料
Case
症例ブログ

叢生(がたつき)は少ないのですが、上顎前突(出っ歯)を気にされていた患者さん

今月の患者さん

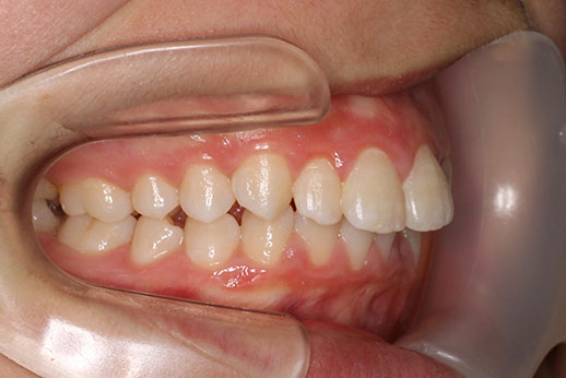
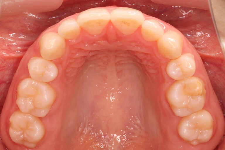
叢生(がたつき)は少ないのですが、上顎前突(出っ歯)を気にされていた患者さんです。

 

検査結果から上顎のみ平均より6mm前突しているので、上顎のみの抜歯治療を行い、

マルチブラケット装置での動的治療開始しました。

結構忙しいのに遠いところから通ってくれていました。

口元、エステティックラインも良くなりました。

 

 

 

 

 

 

 

 

 

 

 

 

 

 

 

 

 

 

 

 

 

 

 

 

 

 

 

 

 

 

 

最新記事

カテゴリー

月別アーカイブ

人気のある記事