2024年06月07日
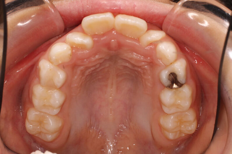
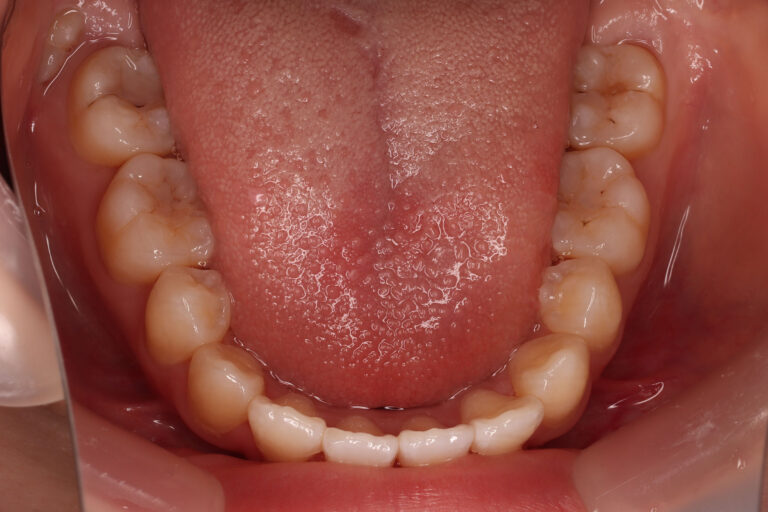
| 上下顎前突および前歯部に叢生(がたつき)がある患者さんです。 小児矯正で歯列の拡大を行った後、マルチブラケット装置での動的治療を開始しました。 口唇前突傾向改善のため、抜歯スペースを利用して治療しました。 抜歯スペースの方向に歯牙を移動させるため、前歯を前方傾斜させずに配列しています。 もし非抜歯で治療していたとしたら、また違った結果になっていたでしょう。 マルチブラケット装置での動的治療期間 2年4か月でした。 |






| 
| 





|
カテゴリ:お知らせ,上下顎前突,凹凸の歯並び,小児矯正,本格矯正,開咬