今月の患者さん
2025年04月28日
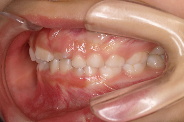
『前歯が生えてきたが既にがたつきがあり、今後が心配』 ということで、小学校低学年から小児矯正から治療を始められた患者さんです。 小児矯正は小学1年生ぐらいから6年生ぐらいの間行う治療で、歯の生え変わる土台の歯槽骨を拡げる治療を行います。 上の歯は2本生えてきたばかりですので小児矯正の中でも、早期治療になります。 早く始めるほど、スペースを作る期間も長くなりますので、がたつきが解消される分、本格矯正で非抜歯治療になる可能性は高くなります。 この患者さんは、取り外しのできる床装置で上下とも永久歯の生えてくるスペースを増加したことで軽度のがたつきが残る程度でした。 本格矯正(マルチブラケット装置)では、非抜歯にて上下歯列の配列を行いました。
| ||
|
|
|



















