受け口、反対咬合、前歯部に叢生(がたつき)がある患者さん|滋賀の矯正歯科専門医院【ウイング栗東矯正歯科クリニック】

診療時間
月・火・金 12:00~13:30 / 15:30~21:00
土 9:00~13:30 / 15:30~19:00
矯正相談無料
menu
診療時間
月・火・金 12:00~13:30 / 15:30~21:00
土 9:00~13:30 / 15:30~19:00
矯正相談無料
Case
症例ブログ

受け口、反対咬合、前歯部に叢生(がたつき)がある患者さん

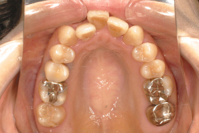
 受け口、反対咬合の治療写真

前歯部に叢生(がたつき)がある、受け口、前歯反対咬合の患者さんです。

虫歯の処置歯が多いだけでなく、左上の側切歯が欠如しており、上顎正中(歯並びの中心)が1歯分、左側にずれています。

前歯部の被蓋(咬み合わせ、重なり)と叢生の改善、上顎正中の右側移動を目的として、抜歯による治療を行いました。

マルチブラケット 動的治療期間 2年1か月 調整回数27回

 

 

 

 

 

 

 

 

 

 

 

 

 

 

 

 

 

 

 

 

 

 

 

 

 

 

 

 

 

最新記事

カテゴリー

月別アーカイブ

人気のある記事