今月の患者さん
2026年03月22日
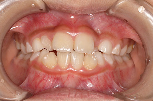
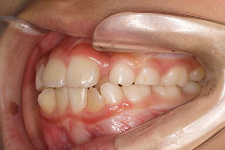
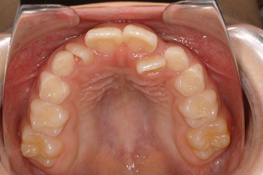
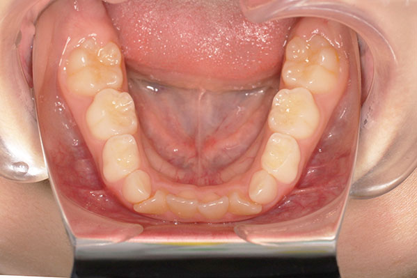
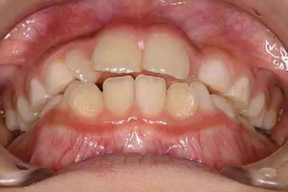
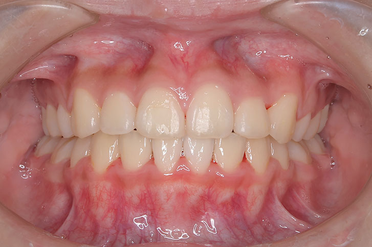
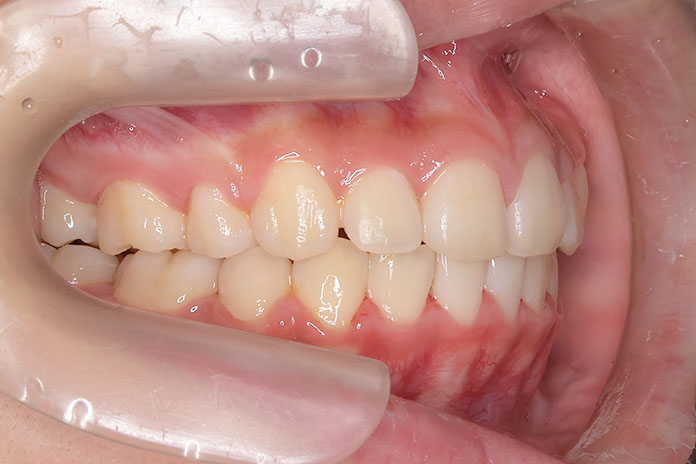
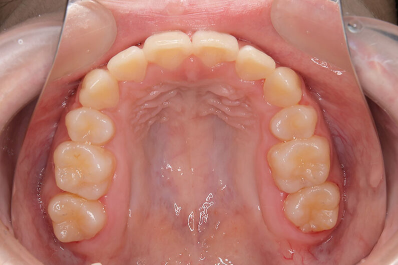
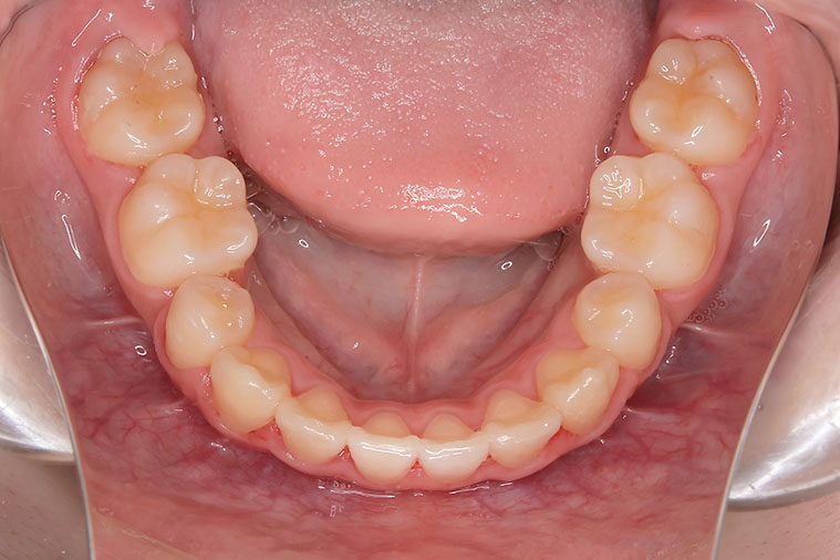
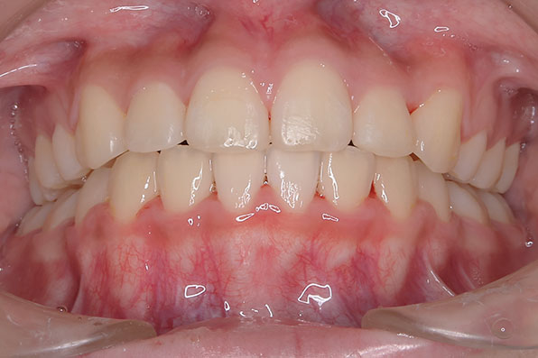
『永久歯の生え方が斜めなのが気になる』 永久歯が大きく、上下顎萌出4前歯に重度の叢生(がたつき)がある患者さんです。 通常通り、小児矯正では、側方拡大により永久歯の生え変わりスペースを増加させました。 しかしながら、予想以上に永久歯が大きく、小児矯正では叢生が強く残ることが予測できましたので、 ご兄弟もすでに治療を行っていますので、快く治療内容を理解されており、感謝です。
平均来院間隔2か月に1度の来院でした。
しかし、著しい叢生(がたつき)や、前歯が前突している場合などは、無理な非抜歯治療を継続することは、良い結果につながりませんので、そのような場合、早期に切り替える必要も重要でしょう。
| ||
|
|
|





















