歯科検診でかみ合わせが不良と指摘され、相談来院|滋賀の矯正歯科専門医院【ウイング栗東矯正歯科クリニック】

診療時間
月・火・金 12:00~13:30 / 15:30~21:00
土 9:00~13:30 / 15:30~19:00
矯正相談無料
menu
診療時間
月・火・金 12:00~13:30 / 15:30~21:00
土 9:00~13:30 / 15:30~19:00
矯正相談無料
Case
症例ブログ

歯科検診でかみ合わせが不良と指摘され、相談来院

今月の患者さん

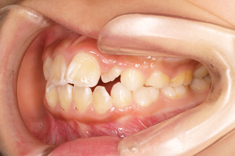
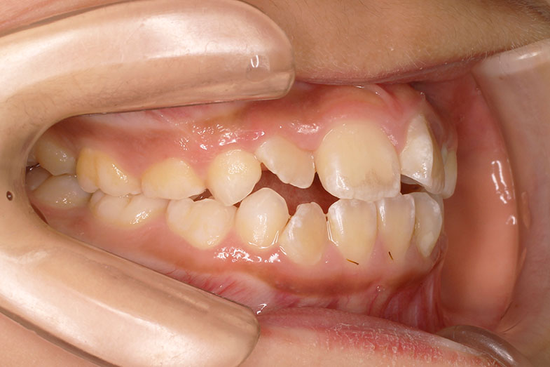
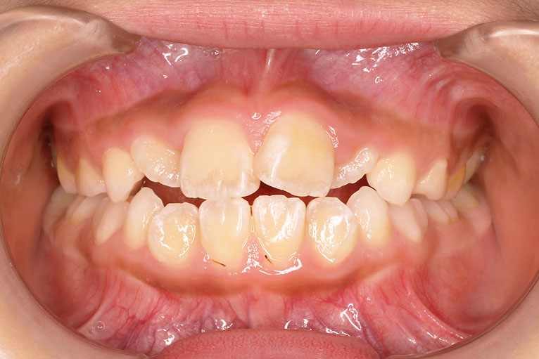
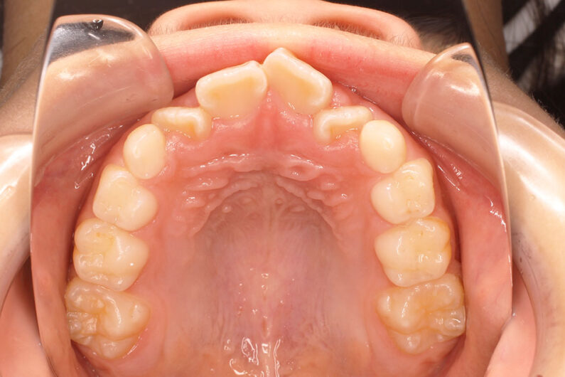
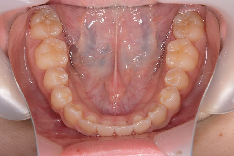
歯科検診でかみ合わせが不良と指摘され、相談来院されました。

小児の診断では、
前歯のがたつき。上下顎前突。開咬傾向。口唇前突傾向。でした。

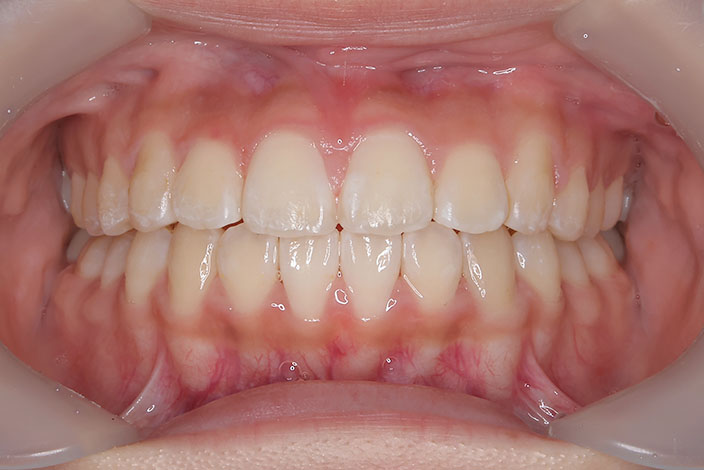
小児矯正後の再診断では、開咬は改善していましたが、
上顎前歯の軽度のがたつき。上下顎前突(上下4mm程度)。口唇前突。でした。

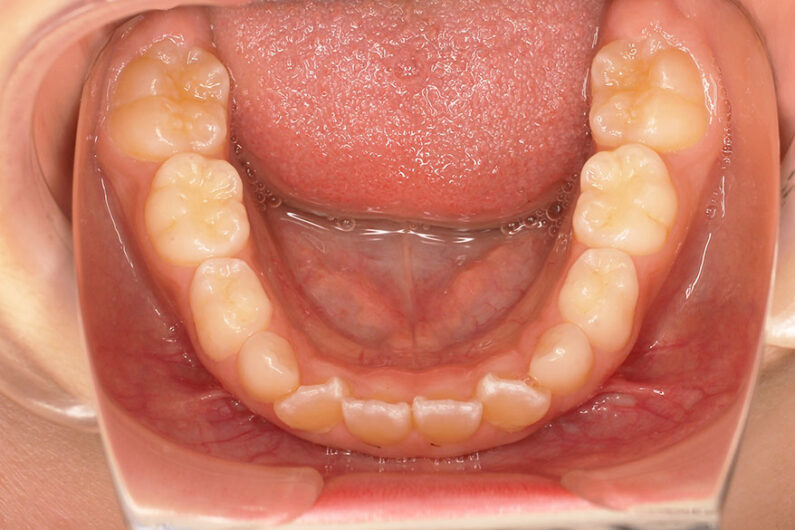
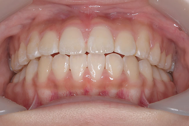
診断結果からは、小臼歯抜歯での治療で前歯の位置と口唇を4mm後退させるのがベストでしたが、

患者さんの希望により、非抜歯治療を行いました。


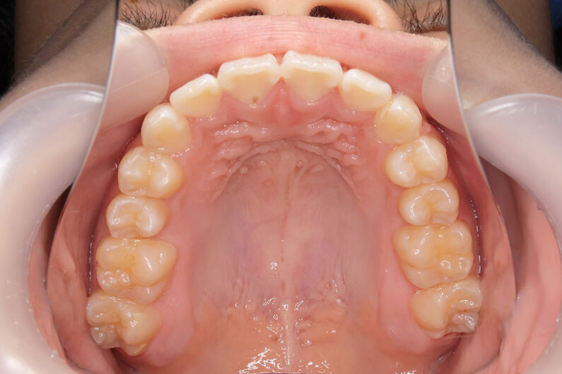
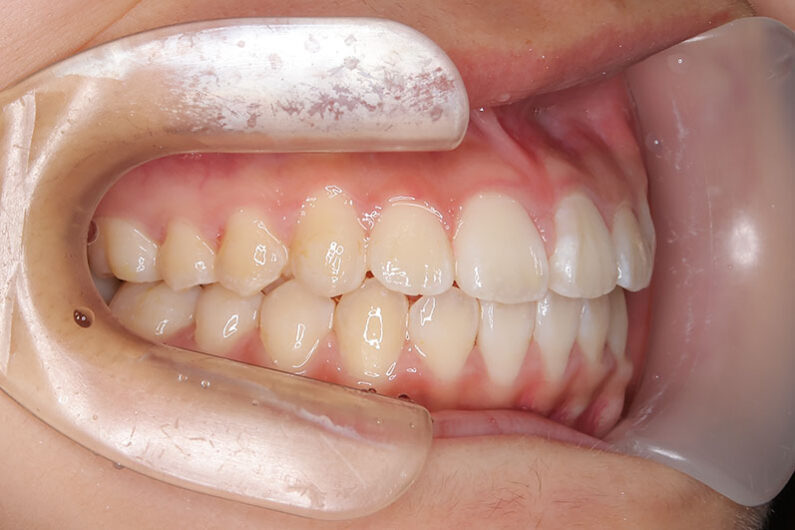
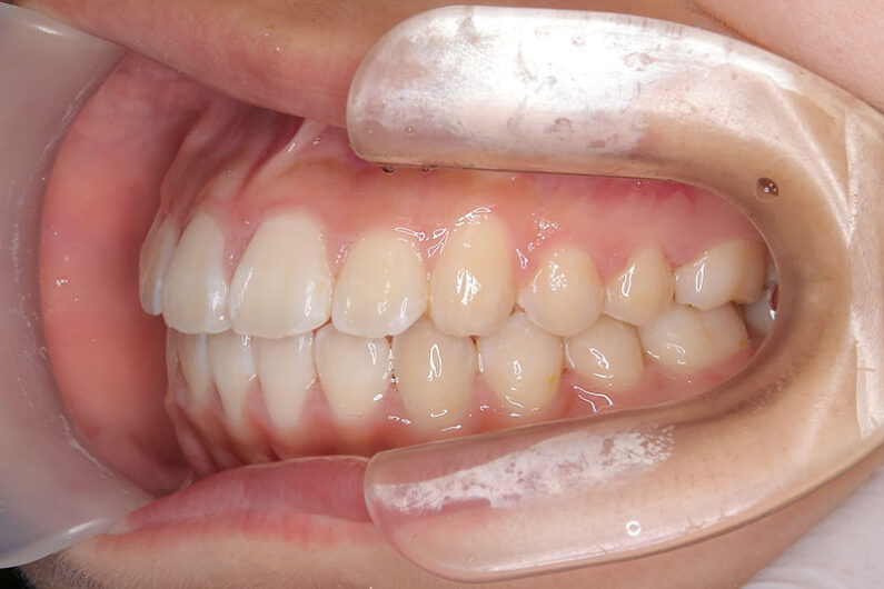
マルチブラケット 動的治療期間 2年9か月 調整回数16回

平均来院間隔2か月に1度の来院でした。

非抜歯治療ですので、治療前後の前歯の前後的位置に大きな変化はありませんでした。

患者さんは、非抜歯での治療に満足されていました。

 

 

 

 

 

 

 

 

 

 

 

 

 

 

 

 

 

 

 

 

 

 

 

 

 

 

 

 

 

 

 

 

 

 

 

 

 

 

 

 

最新記事

カテゴリー

月別アーカイブ

人気のある記事