今月の患者さん
2024年10月24日
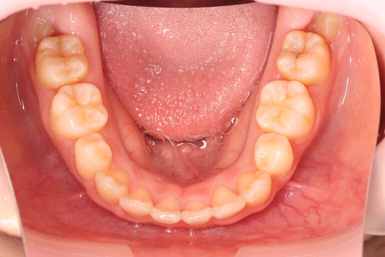
| 上下顎の歯列全体に重度の叢生(がたつき・八重歯)がある患者さんです。
正中は上下とも右側に大きくずれています。前歯は上下とも内側(舌側)に押し込まれています。 特に、上顎犬歯ですが、右側は外側(頬側)に飛び出していますが、左側は内側(舌側)に入っています。 ガタガタの歯並びが昔から気になっていたということで永久歯列からのマルチブラケット装置(本格矯正)での動的治療を開始しました。 マルチブラケット 動的治療期間 3年0か月 調整回数27回 叢生が非常に強く、舌側転位している上顎左側犬歯の改善に5か月ほど追加で時間を費やしました。 重度の叢生は改善され、歯列正中も左側に移動させ改善しています。 口元はもともと良好でしたので、治療前後の口唇の位置、口元の状態は大きく変えずに治療を終了しています。 装置撤去後の保定期間に、一番後ろから生えてきた親知らず(第三大臼歯)は抜歯してもらう予定です。(治療した歯並びが長持ちするように。) | ||
|
|
|





















