今月の患者さん
2024年11月01日
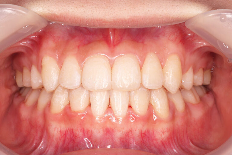
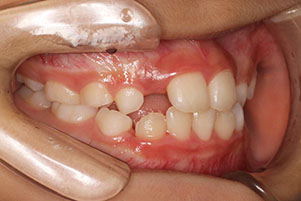
| 小学校2年生から治療の患者さんです。
写真からは将来、永久歯の前歯が、がたついて生えてくることが予想できないと思いますが、 『大人の歯の生え変わりのスペースが足りない』と、他院で指摘され、来院されました。 レントゲンにより、後続永久歯の大きさから、上下顎ともスペース不足のため、叢生、八重歯になることが予測できます。 下顎の正中も右側に2.5mmずれています。 小児矯正で、永久歯の萌出スペースを増やして叢生量(がたつき量)を減らしてから、仕上げは、本格矯正(中学1~2年生頃からスタート)に移行してから行いました。 小児治療後の本格矯正でしたが、下顎正中の右側への大きなずれがありましたので、抜歯スペースで叢生と正中のずれを改善しました。 マルチブラケット 動的治療期間 2年6か月 口元、エステティックラインも良好です。 | ||
|
|
|























