ガタガタの歯並びと食べ物が咬み切れないことを理由に矯正治療を決断 開咬|滋賀の矯正歯科専門医院【ウイング栗東矯正歯科クリニック】

診療時間
月・火・金 12:00~13:30 / 15:30~21:00
土 9:00~13:30 / 15:30~19:00
矯正相談無料
menu
診療時間
月・火・金 12:00~13:30 / 15:30~21:00
土 9:00~13:30 / 15:30~19:00
矯正相談無料
Case
症例ブログ

ガタガタの歯並びと食べ物が咬み切れないことを理由に矯正治療を決断 開咬

今月の患者さん

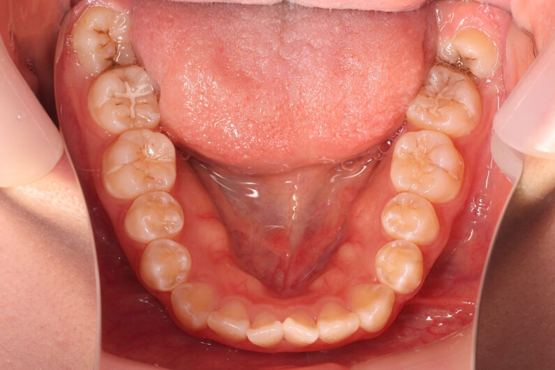
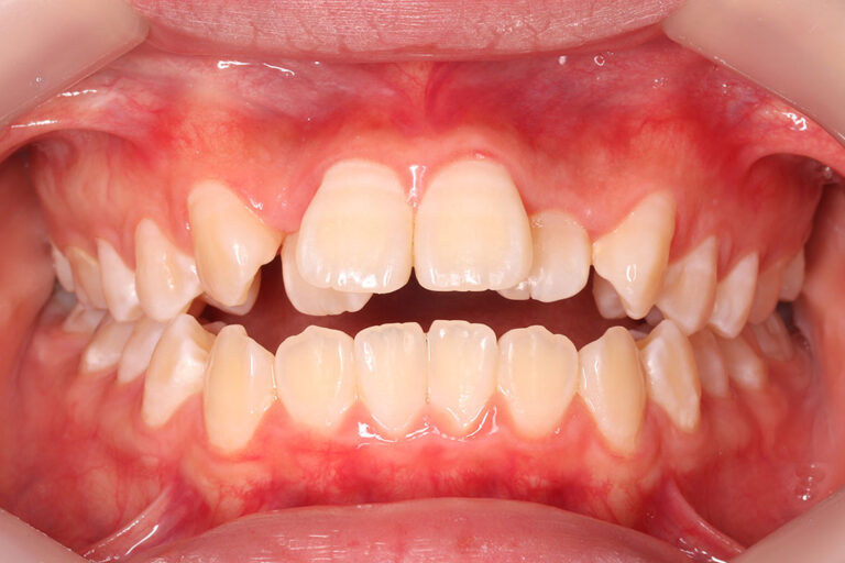
ガタガタの歯並びと食べ物が咬み切れないことを理由に矯正治療を決断されました。

 

上顎前歯の強い叢生(がたつき)と、前歯部開咬状態でした。

治そうという意識が強い方でしたので、顎間ゴムの協力も良かったです。

治療期間が平均よりやや短く2年2か月でした。

治療前、開咬で舌癖の強い方は一般的に後戻りしやすいのですが、

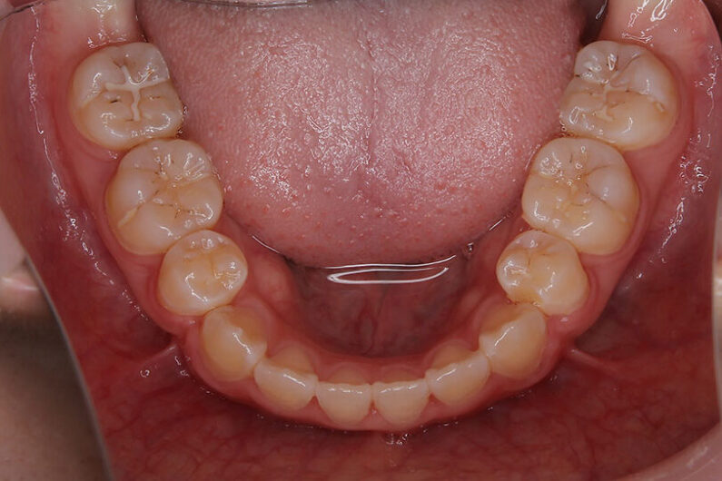
装置撤去後1年10か月経過していますが安定しています。

マルチブラケット 動的治療期間 2年2か月 調整回数22回

口元、エステティックラインも下唇が下がり、良くなっています。

 

 

 

 

 

 

 

 

 

 

 

 

 

 

 

 

 

 

 

 

 

 

 

 

 

 

 

 

 

 

 

 

 

 

 

 

 

 

 

 

 

 

 

 

 

 

最新記事

カテゴリー

月別アーカイブ

人気のある記事