今月の患者さん
2025年01月04日
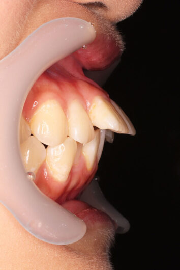
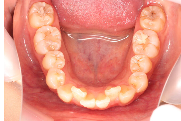
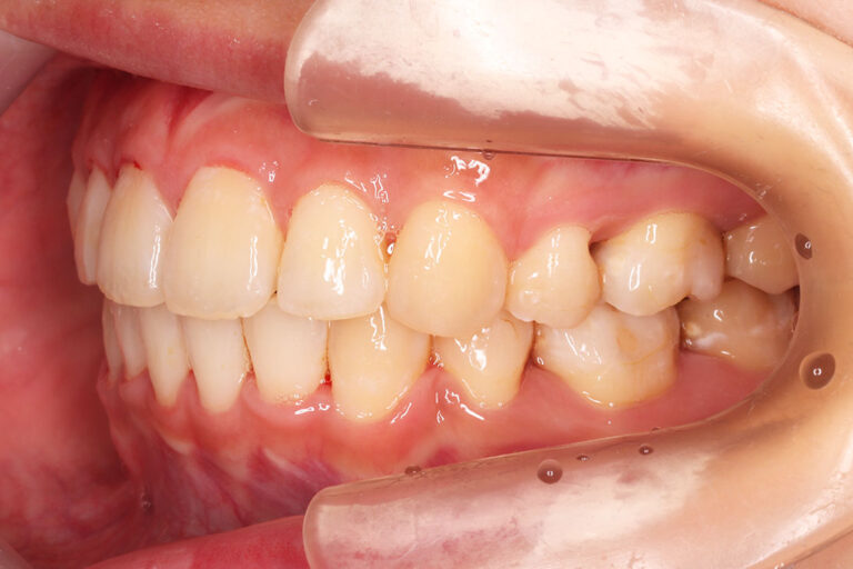
| 成人の患者さんです。 前歯が出ているので改善したいと希望され来院されました。 前歯部に叢生を伴う重度の上下顎前突傾向の患者さんです。 上下顎前歯が前方に傾斜していますので、 それに伴い、口唇も上顎で11mm、下顎で8mmほど前突していました。 前歯の後退を目的として、小臼歯抜歯によるマルチブラケット装置での動的治療開始しました。 インプラントアンカーは希望しなかったので使用しませんでした。 (その分、顎間ゴムの協力と口腔内での加強固定を用いています。) 結構忙しい方でしたがしっかり通ってくれていました。 治療期間が平均より長く2年11か月、調整回数は33回でした。 上顎左第一大臼歯の虫歯治療の詰め物(レジン修復物)が外れ穴の開いている部分は、 装置撤去後、一般歯科にて再治療していただきました。 治療前の前突した前歯は後退し、口元、エステティックラインも良くなりました。 | ||
|
|
|























