今月の患者さん
2026年01月05日
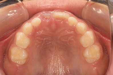
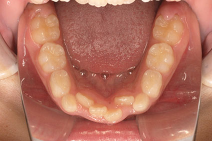
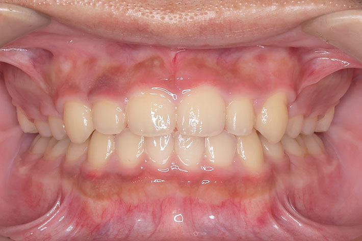
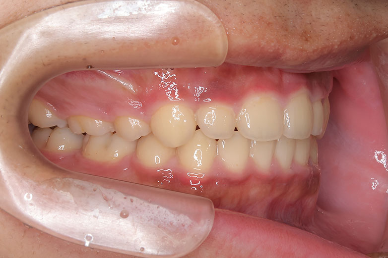
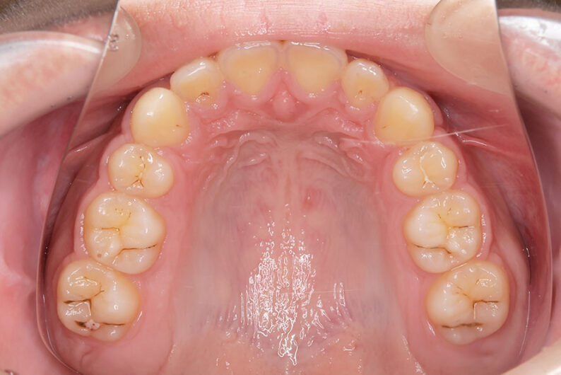
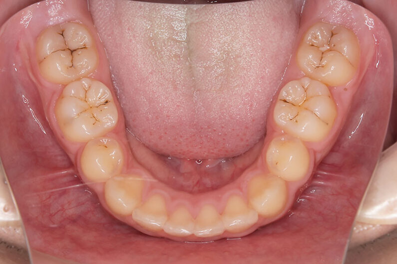
右上の前歯が生えてこない事を気にされ来院されました。 レントゲン写真から、上顎正中に過剰歯が埋伏していることが原因でしたので、抜歯して経過観察。 遅れて、無事に生えてきました。 もし、自然に生えてこない場合は、開窓して、引っぱり出します。(廷出) 状態により、引っぱり出せない場合もあります。 将来的にスペース不足により、上下顎前臼歯部に重度の叢生(がたつき)が予測できますので、がたつきを減らすために、小児矯正で側方拡大を行いました。 小児矯正で側方拡大を行ってもスペースが足りない場合(著しくスペース不足の場合)は、がたつき(叢生、八重歯)が残ります。 残ったがたつき(叢生)は、本格矯正ですべて生え変わった中学生から治せば問題ありません。 来院間隔が平均で1.5カ月でしたので半年ほど治療期間が長いです。
| ||
|
|
|





















