正中にスペースがある 前歯部開咬の患者さん|滋賀の矯正歯科専門医院【ウイング栗東矯正歯科クリニック】

診療時間
月・火・金 12:00~13:30 / 15:30~21:00
土 9:00~13:30 / 15:30~19:00
矯正相談無料
menu
診療時間
月・火・金 12:00~13:30 / 15:30~21:00
土 9:00~13:30 / 15:30~19:00
矯正相談無料
Case
症例ブログ

正中にスペースがある 前歯部開咬の患者さん

2024.01.05

今月の患者さん

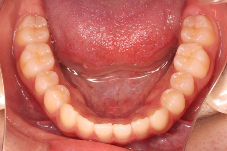
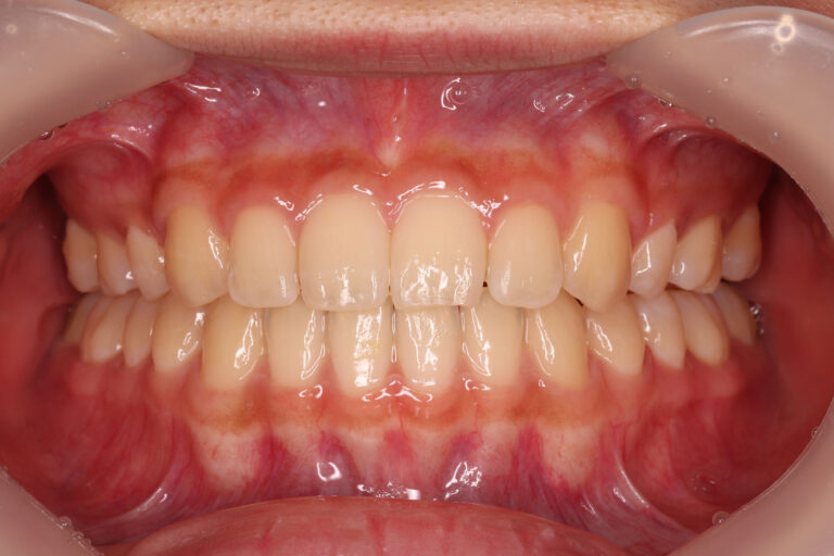
開咬の患者さんです。歯列の叢生はないのですが、奥歯だけ上下の歯が接触していて前歯は開いています。前歯部の開咬です。

 

食べ物がかみ切れないという事と、見た目が気になるとの事で治療を開始。

上顎小臼歯のみの抜歯治療を行いました。

治療期間は、月に一度ペースで来院されましたので、1年9か月です。

平均より早い治療でした。

萌出してきた上顎左側の親知らずは保定中に抜歯してもらいました。

 

 

 

 

 

 

 

 

 

 

 

 

 

 

 

 

 

 

 

 

 

 

 

 

 

 

 

 

 

 

 

 

 

 

 

 

 

最新記事

カテゴリー

月別アーカイブ

人気のある記事