外科手術が必要な下顎側方偏位(顎変形症)|滋賀の矯正歯科専門医院【ウイング栗東矯正歯科クリニック】
ウイング栗東
矯正歯科クリニック
診療時間
月・火・金 12:00~13:30 / 15:30~21:00
土 9:00~13:30 / 15:30~19:00
矯正相談無料
menu
診療時間
月・火・金 12:00~13:30 / 15:30~21:00
土 9:00~13:30 / 15:30~19:00
矯正相談無料
ホーム
home
当院の特長
clinic
院長・スタッフ
staff
お悩み別メニュー
trouble
治療案内
treatment
矯正治療とは
治療の流れ
表側矯正
裏側矯正
インプラント矯正
保険適用の矯正(顎変形症)
小児矯正
よくあるご質問
症例集
case
アクセス・医院案内
access
料金表
price
Case
症例ブログ
ホーム
home
当院の特長
clinic
院長・スタッフ
staff
お悩み別メニュー
trouble
治療案内
treatment
矯正治療とは
治療の流れ
表側矯正
裏側矯正
インプラント矯正
保険適用の矯正
(顎変形症)
小児矯正
よくあるご質問
症例集
case
アクセス・医院案内
access
料金表
price
ウイング栗東矯正歯科クリニック ホーム
症例ブログ
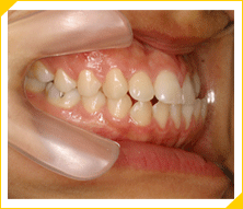
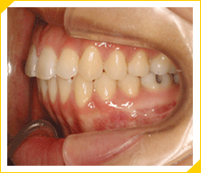
外科手術が必要な下顎側方偏位(顎変形症)
外科手術が必要な下顎側方偏位(顎変形症)
2023.01.01
顎変形症
顎変形症(下顎側方偏位)の治療写真
動的治療期間 2年1か月
新しい記事
最新記事
一般歯科で、顎が小さく歯が大きいと指摘され来院
歯科検診でかみ合わせが不良と指摘され、相談来院
治療が必要なら始めたい
『永久歯の生え方が斜めなのが気になる』 永久歯が大きく、上下顎萌出4前歯に重度の叢生(がたつき)
前歯ががたついて生えてきた
カテゴリー
小児矯正 (26)
顎変形症 (3)
移植、補綴、インプラント (1)
開窓、廷出 (1)
症例について (1)
上顎前突(出っ歯) (11)
下顎前突(受け口) (13)
八重歯、乱杭歯、過蓋咬合、叢生(そうせい) (51)
上下顎前突 (16)
開咬 (12)
月別アーカイブ
選択してください
option
2026年5月 (1)
option
2026年4月 (2)
option
2026年3月 (2)
option
2026年2月 (2)
option
2026年1月 (2)
option
2025年12月 (2)
option
2025年11月 (2)
option
2025年10月 (2)
option
2025年9月 (2)
option
2025年8月 (3)
option
2025年7月 (3)
option
2025年6月 (2)
option
2025年5月 (2)
option
2025年4月 (2)
option
2025年3月 (2)
option
2025年2月 (2)
option
2025年1月 (2)
option
2024年12月 (1)
option
2024年11月 (2)
option
2024年10月 (2)
option
2024年9月 (3)
option
2024年8月 (4)
option
2024年7月 (2)
option
2024年6月 (2)
option
2024年1月 (2)
option
2023年10月 (1)
option
2023年7月 (2)
option
2023年1月 (2)
人気のある記事
ホーム
お知らせ
当院の特長
院長・スタッフ
アクセス・医院案内
お悩み別メニュー
治療案内
矯正治療とは
治療の流れ
表側矯正
裏側矯正
インプラント矯正
保険適用の矯正(顎変形症)
小児矯正
よくあるご質問
症例集
料金表
プライバシーポリシー
矯正相談無料
【休診日】水・木・日・祝日