今月の患者さん
2026年04月05日
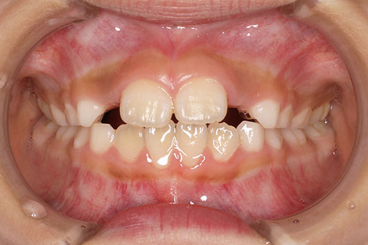
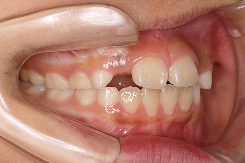
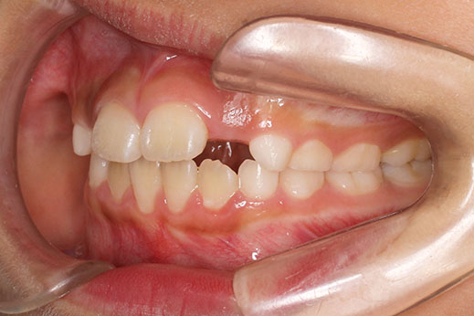
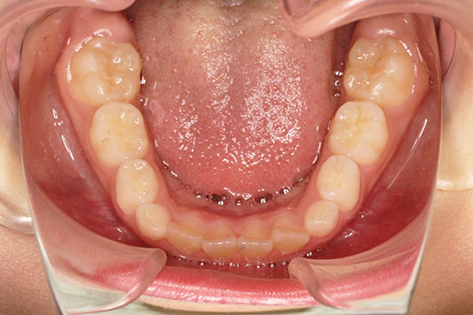
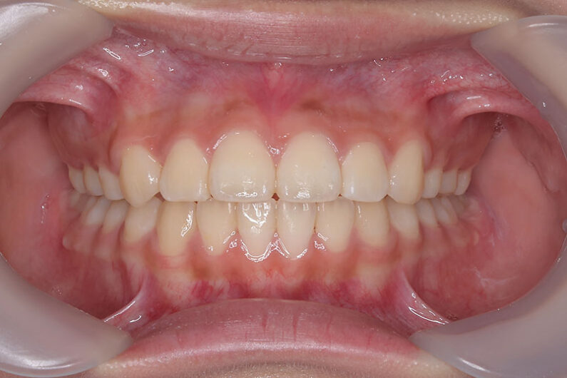
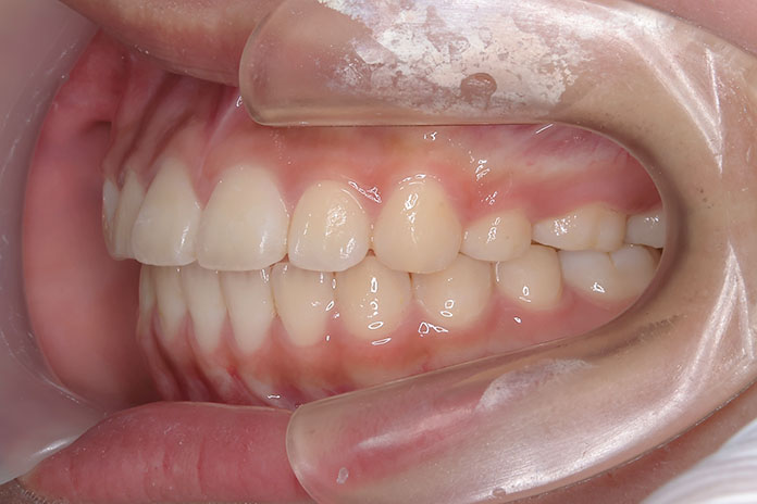
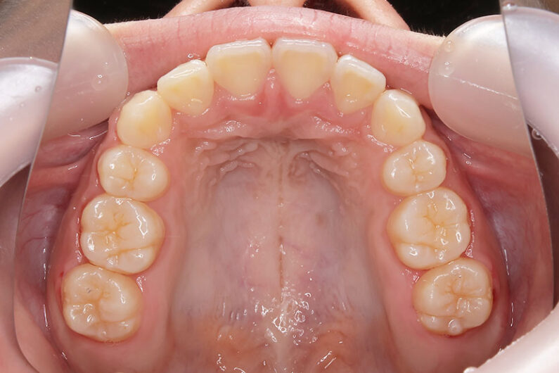
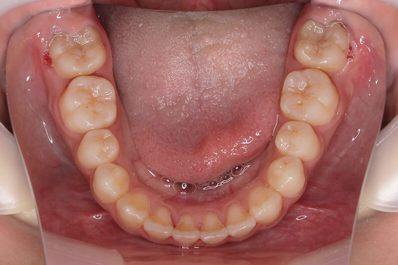
治療が必要なら始めたい、と小児矯正から治療を始めた患者さんです。 検査結果から、3mm程度の上顎前突と、6mm程度の叢生(がたつき)を予測。 小児矯正では、取り外しのできる床装置で治療を行いましたが、装着時間が少なく、あまり効果がありませんでした。 永久歯萌出後(中学1年生ごろ)、再検査 下顎の叢生は少なく、前歯の前後的位置は問題がありませんでした。 上顎は僅かな叢生(がたつき)と、3mmの前突でした。
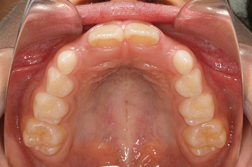
診断から、上顎のみの小臼歯抜歯により治療を開始。仕上げています。 マルチブラケット 動的治療期間 2年7か月 調整回数20回 平均来院間隔1.5か月に1度の来院でした。
| ||
|
|
|





















