今月の患者さん
2026年03月08日
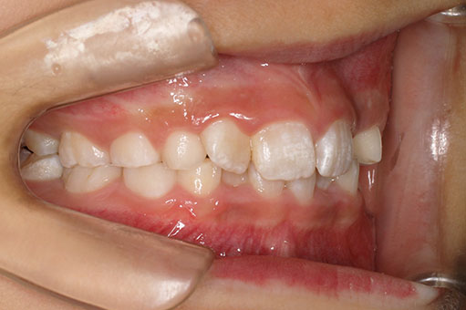
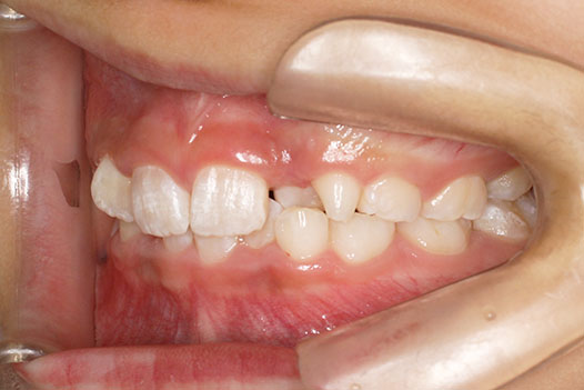
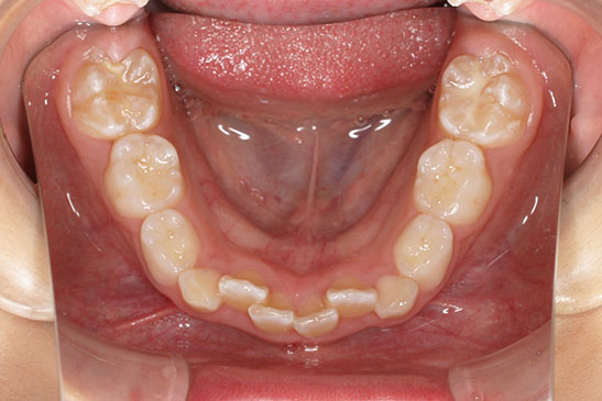
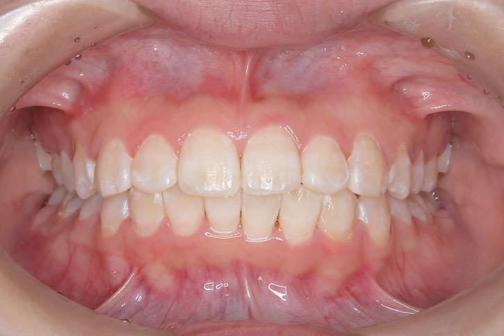
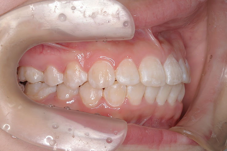
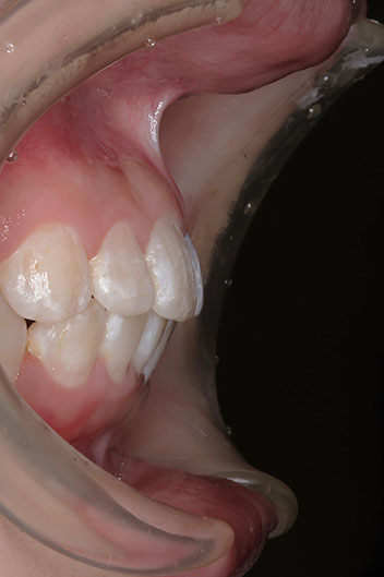
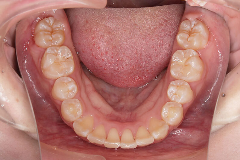
『前歯ががたついて生えてきた』 一般歯科から紹介の患者さんです。 上下4前歯に叢生がみられます。かみ合わせが深く、過蓋咬合。 上顎前歯は舌側傾斜。 永久歯の萌出スペースが上下とも5mmほど足りませんし、 おそらく、これから生えてくる犬歯は八重歯になる状況です。 治療方針としては、小児矯正で叢生(がたつき)を減らし、 永久歯列が生えてから、中学生ごろから本格矯正(マルチブラケット装置)を行います。 十分に側方拡大でスペースを確保し、更に、まだ生えていない永久歯の位置と方向が良ければ、きれいに生えそろうことにより、本格矯正での治療が必要ない場合もありますが頻度的には少ないです。 ある程度はきれいに生えてきても、左右の歯の高さの違いや、歯の回転、角度のズレが残る場合が多いからです。 その多少のがたつきが気にならないのでしたら、小児矯正で終了です。
小児矯正での早期治療で、側方拡大による十分なスペース確保をしていたことと、口唇の前突傾向がなかったことから、
平均来院間隔 ほぼ1か月に1度の来院でした。 1か月に1度の来院ですので、治療期間は短く終われました。
| ||
|
|
|























