今月の患者さん
2025年02月23日
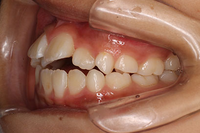
| 小児矯正から始められた患者さんです。 前歯のがたつきを気にされ来院。 永久歯の生え変わる為のスペース不足による前歯部の叢生(がたつき)と上下顎前突(上下の歯が前方に強く傾斜している)、上下の歯が接触していない開咬状態でした。 将来的には、さらに八重歯になることが予想できます。 叢生量が大きく、上顎前歯の前方傾斜度も大きいことから、永久歯に生え変わってからの本格矯正では、小臼歯の抜歯治療になる可能性が高いです。(前歯を後ろに下げることで前歯の傾斜角度が良好になります。) 小児矯正では、叢生がこれ以上強くならないようにスペースを作って生え変わりを待ちます。 小児矯正中に完全に歯並び(がたつきや前歯の角度)が良くなる事はありませんが、がたつきを減らしておく事で、本格矯正に移った時に、いろいろな面で治療が有利になります。 13歳ごろ(永久歯が全部生えて)から、本格矯正で仕上げました。 無理な非抜歯治療は選択せず、小臼歯抜歯での治療を行なっています。 マルチブラケット 動的治療期間 2年5か月 調整回数26回 結果、上下前歯を後ろ(舌側)に下げることで口元が前に出るのを防ぎ、前歯の前方傾斜度も良くなりました。
| ||
|
|
|



















