今月の患者さん
2024年08月12日
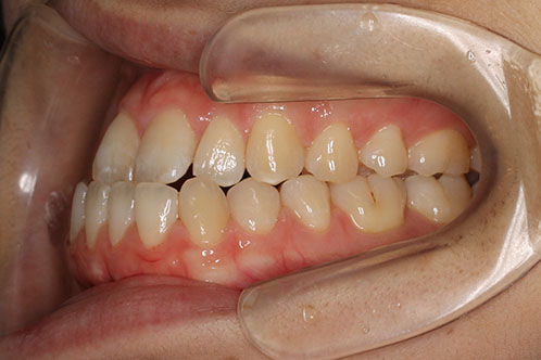
受け口を気にされていた患者さんです。
何か所かの医院で相談されたそうですが、矯正単独の治療では難しいと説明をうけています。 検査した結果、下顎が上顎に対して著しく大きい骨格性の下顎前突症でした。 下顎骨と上顎骨とのバランスを考えると、下顎を後退させる外科手術が必要でしたので、 外科手術前提での矯正治療を行うことにしました。 術前矯正を行なった後、手術を行い、術後矯正を経て、動的治療を終了します。 治療後、顎顔面のバランスがとれるので、口腔周囲やエステティックラインも良好になりました。 手術ということで不安はあったと思われますが、治療結果に満足されていたので本当に良かったです。 | ||
|
|
|





















